Severe dental crowding usually necessitates the removal of 2 teeth per arch to create space and allow orthodontic correction.
The 1st premolars 4/4 are usually removed, but sometimes the 5/5 may be heavily filled and are better candidates for removal.
The problem however is that the 5/5 are further away from the anterior crowding and so it takes much longer to carry out treatment.

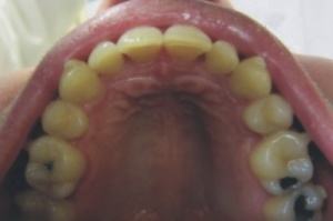
The patient had severe upper crowding. With a deep bite. We agreed to remove the 5/5 and provide Invisalign to close the gaps and correct the crowding. The aligners were changed every 2 weeks.
The patient wore the aligners mostly 20 hrs a day.

Treatment time was 18 months in total and patient was travelling across Asia, so he attended every 3 months.
The back teeth were moved forward whilst the from teeth were moved backwards.
The patient could not travel back, so he had the attachments removed, 3D scans taken and sent to us. We ordered 6 retainers and posted them to Hong Kong. Job well done.