+
1
Years of experience
+
1
Invisalign patients
+
1
Implants placed
+
1
Patients
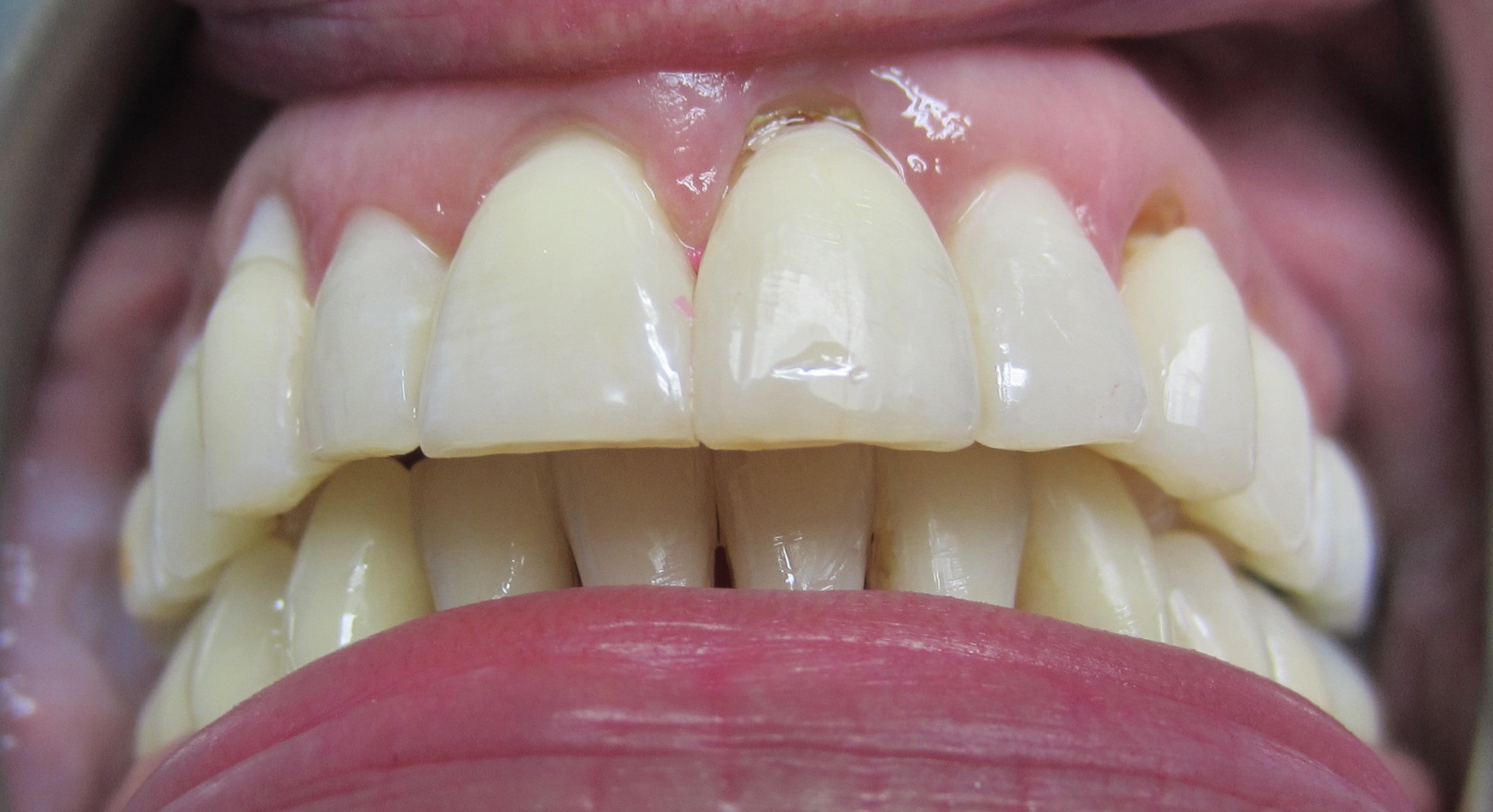
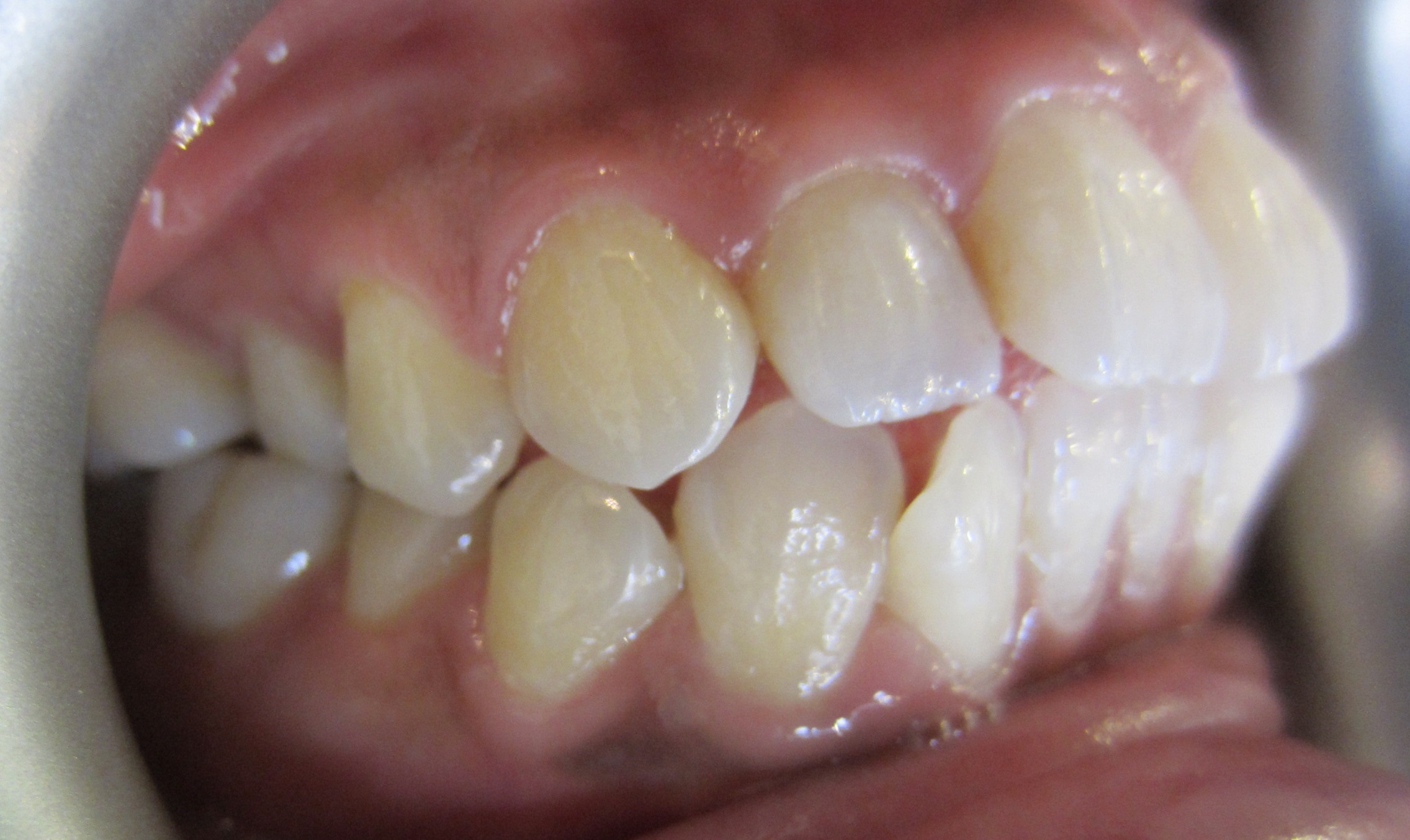
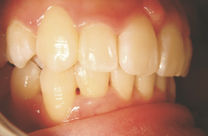
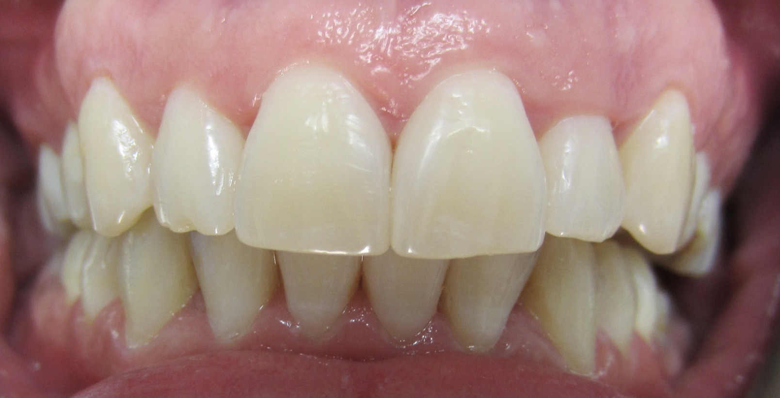
Invisalign London
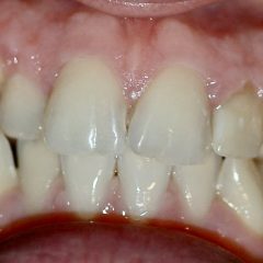
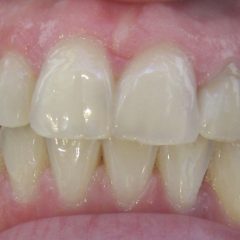
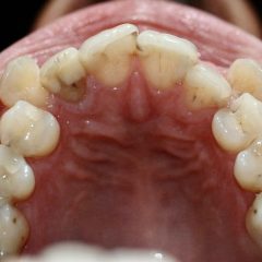
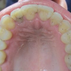
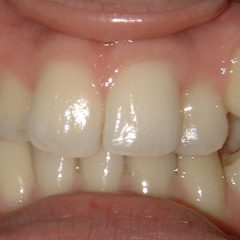
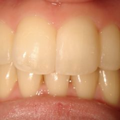
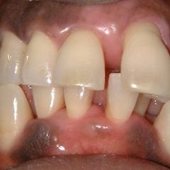
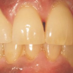
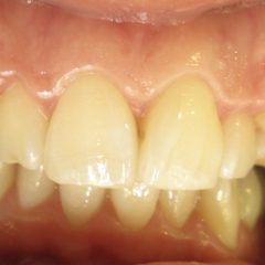
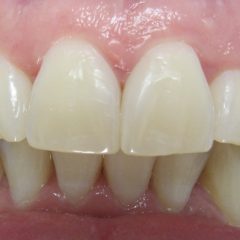
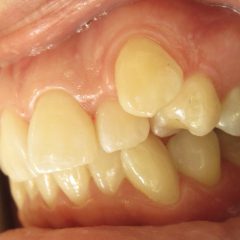
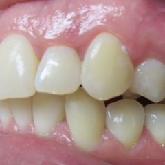
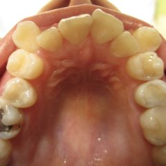
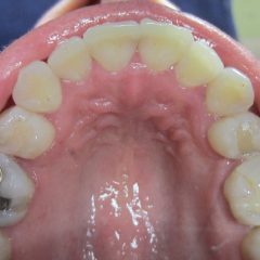
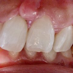
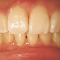
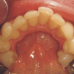
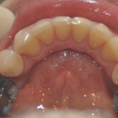
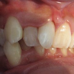
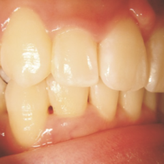
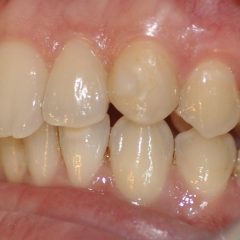
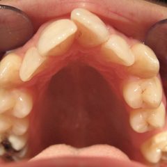
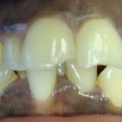
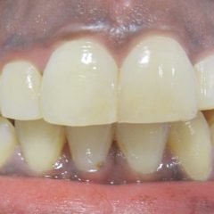
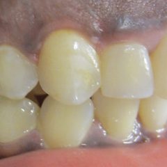
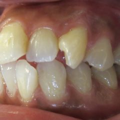
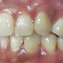
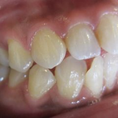
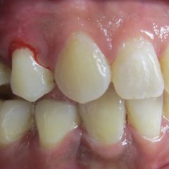
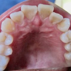
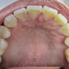
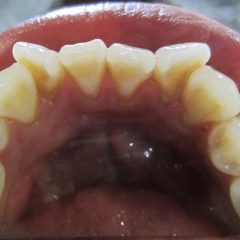
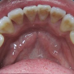
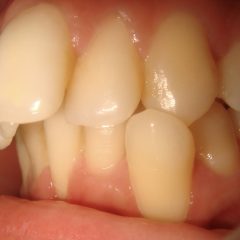
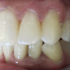
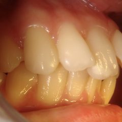
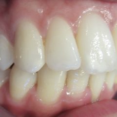
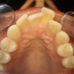
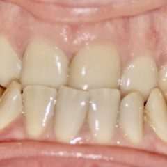
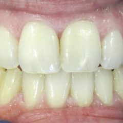
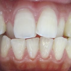
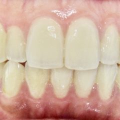
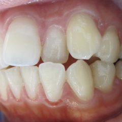
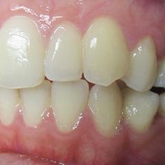
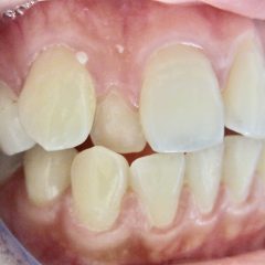
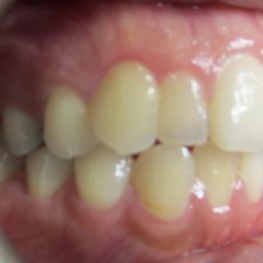
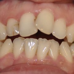
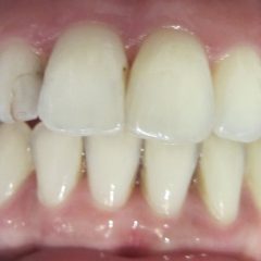
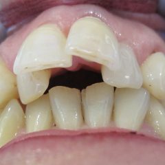
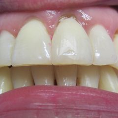
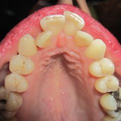
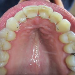
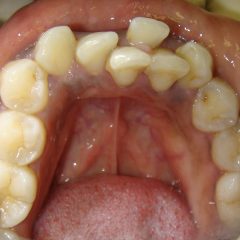
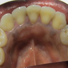
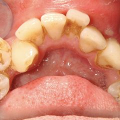
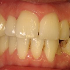
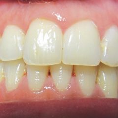
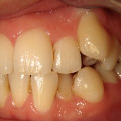
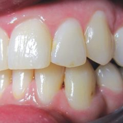
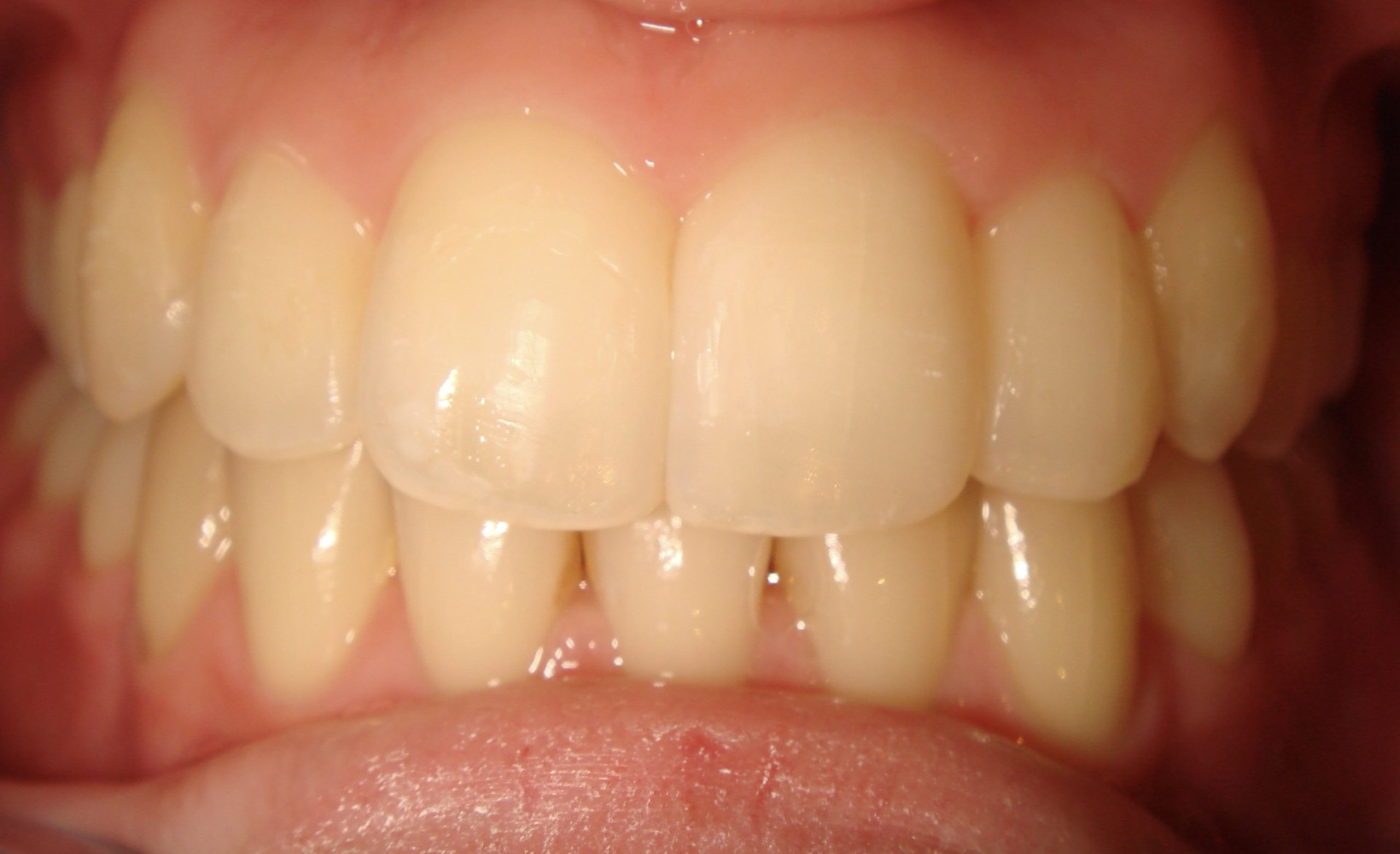
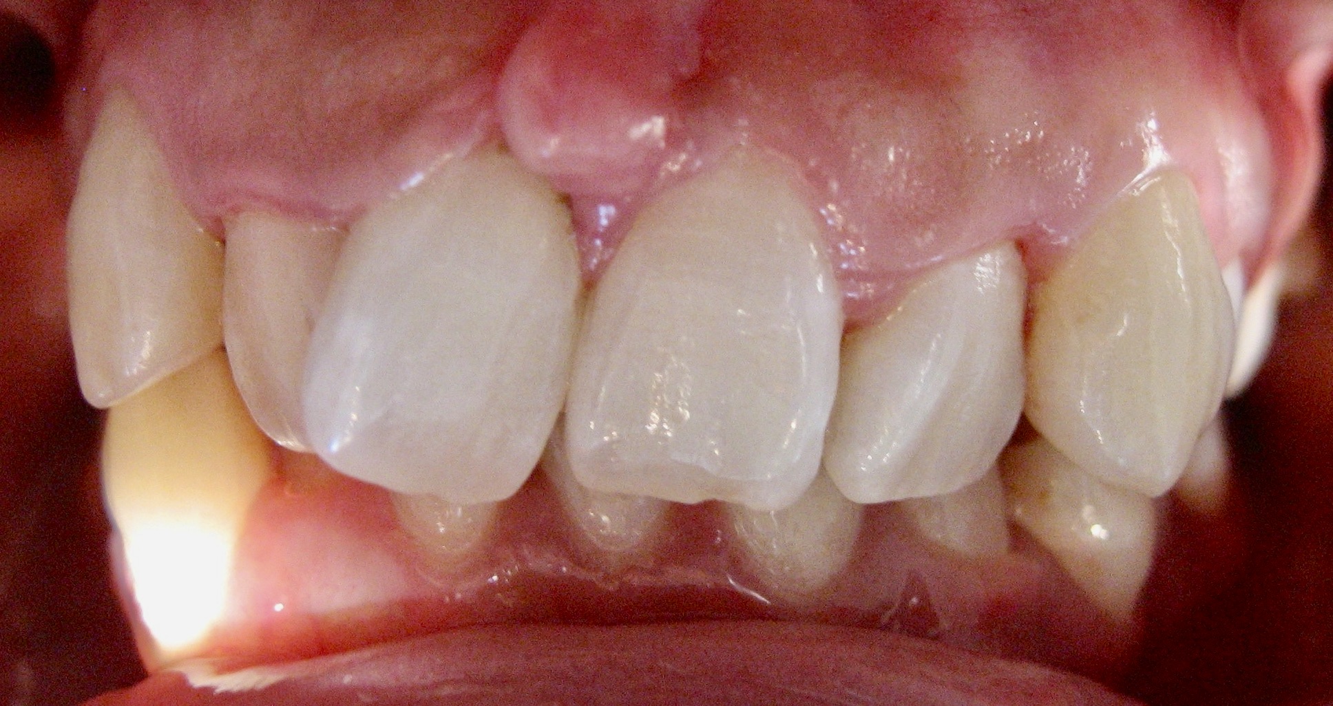
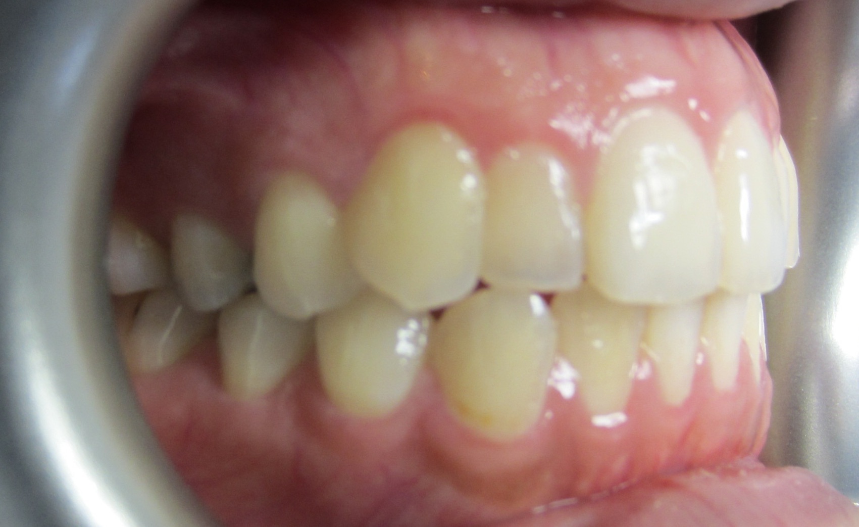
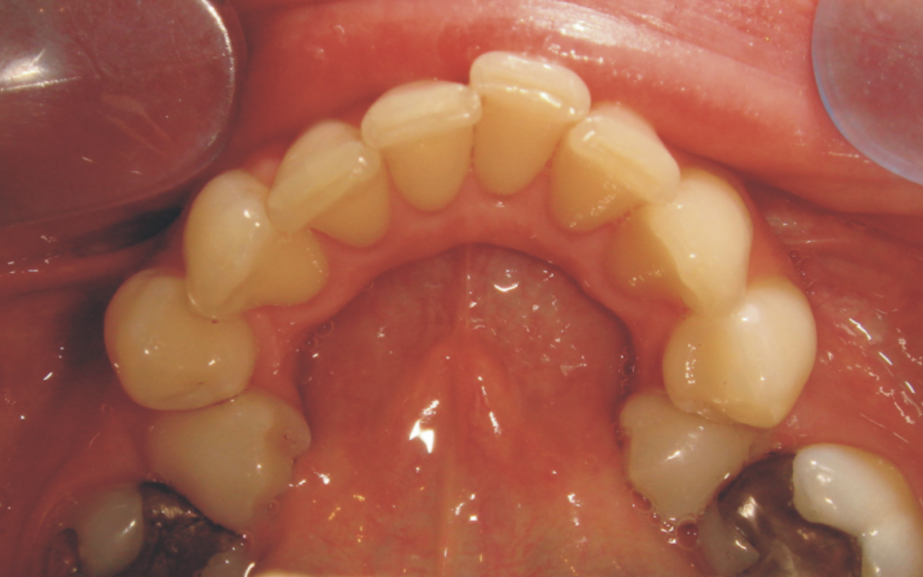
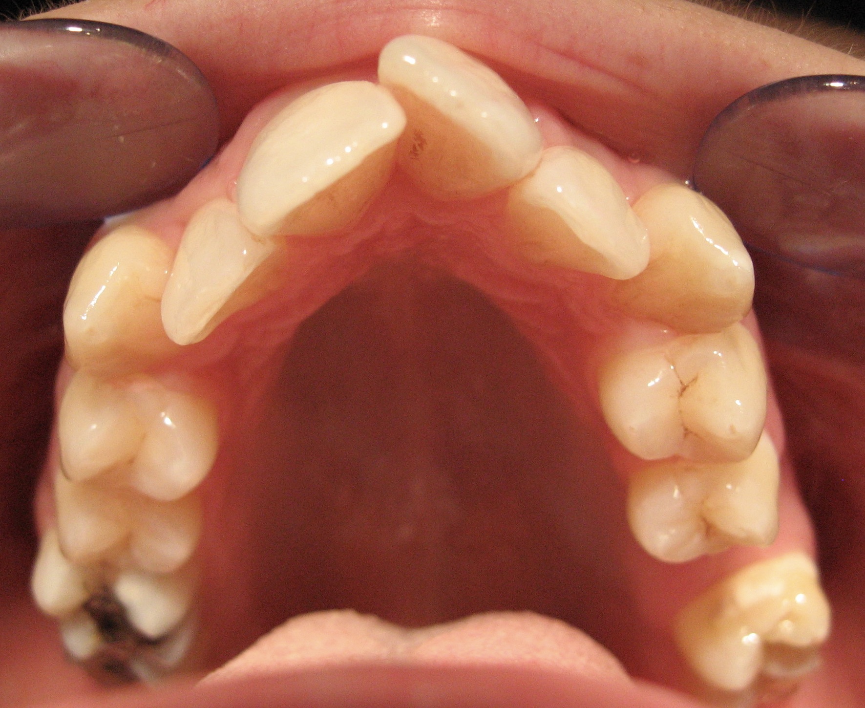
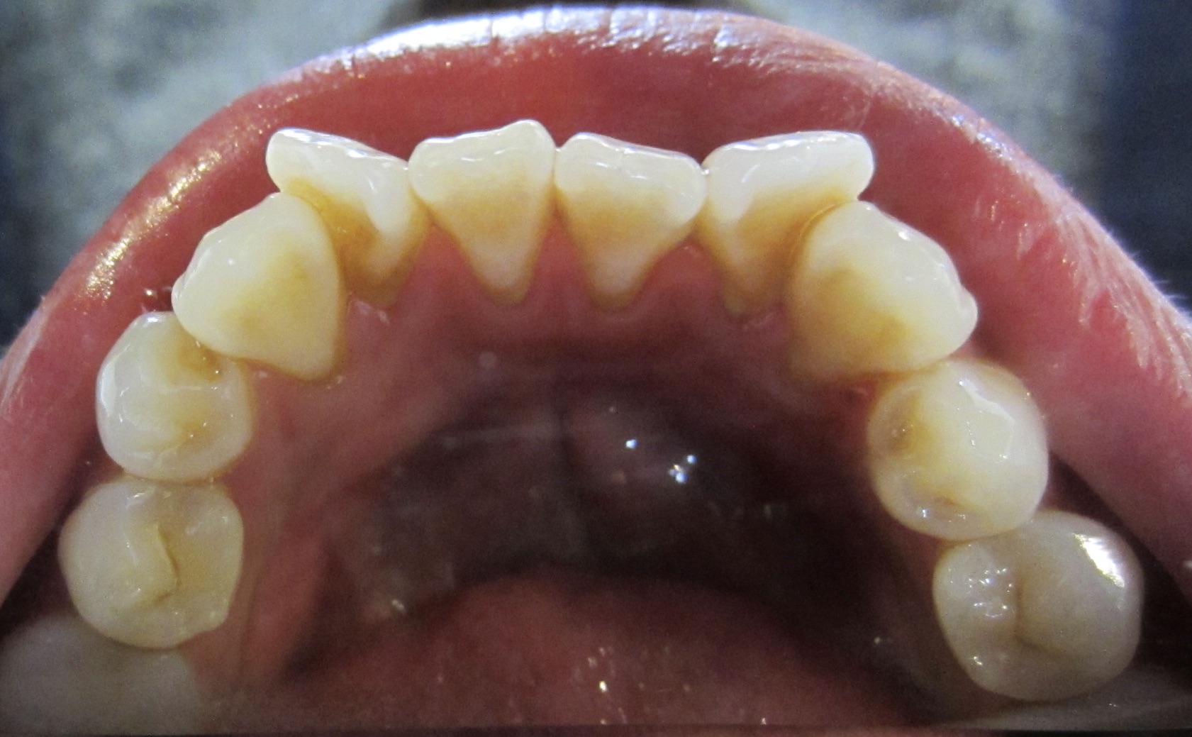
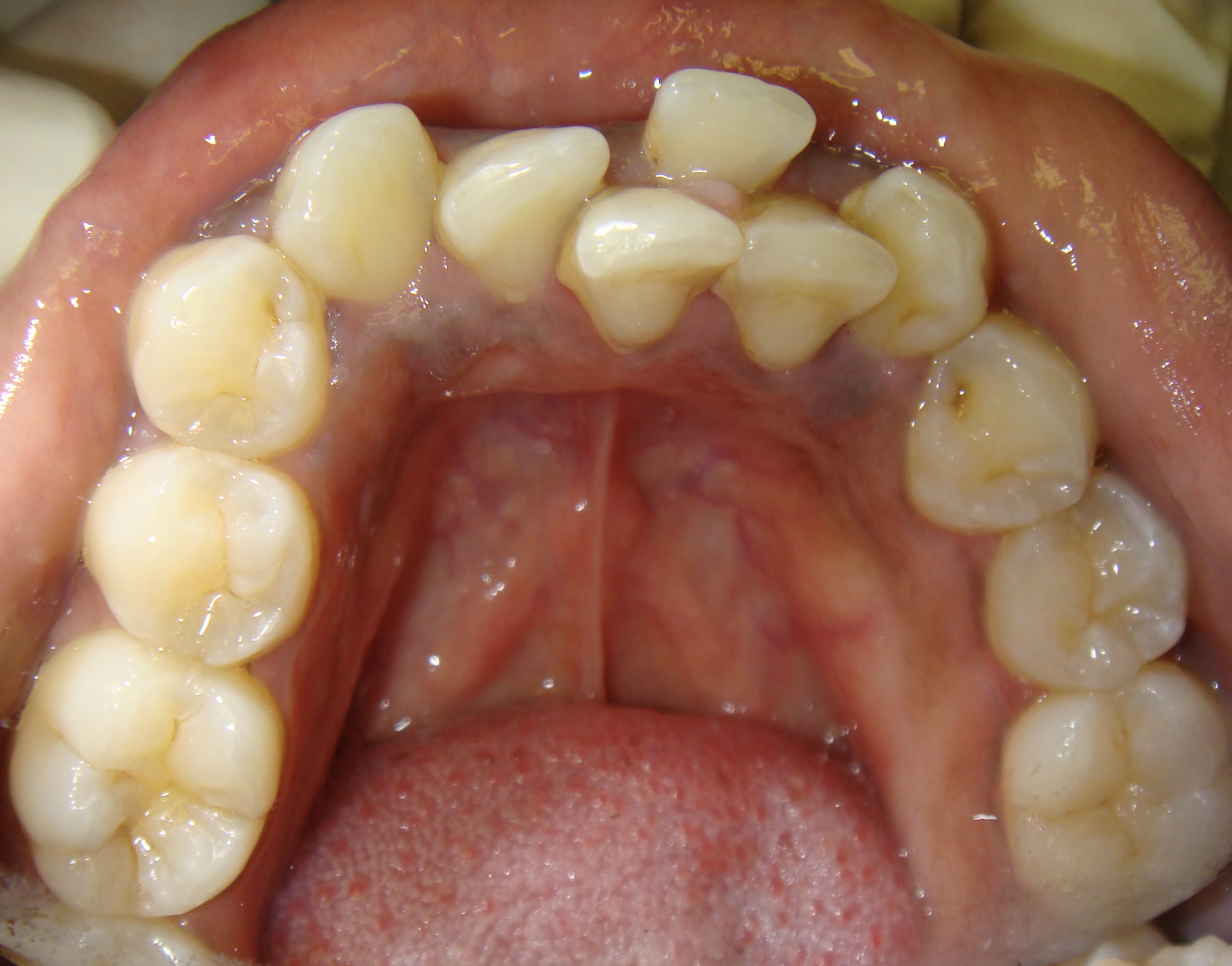
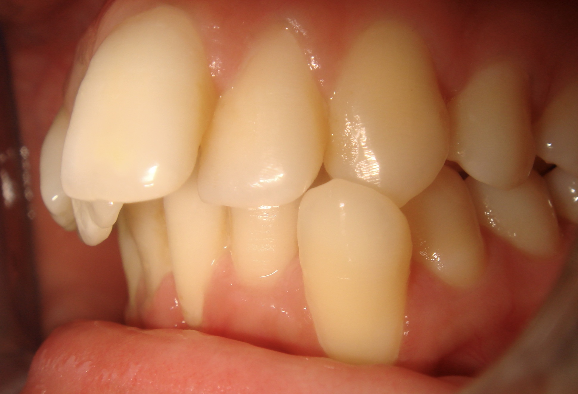
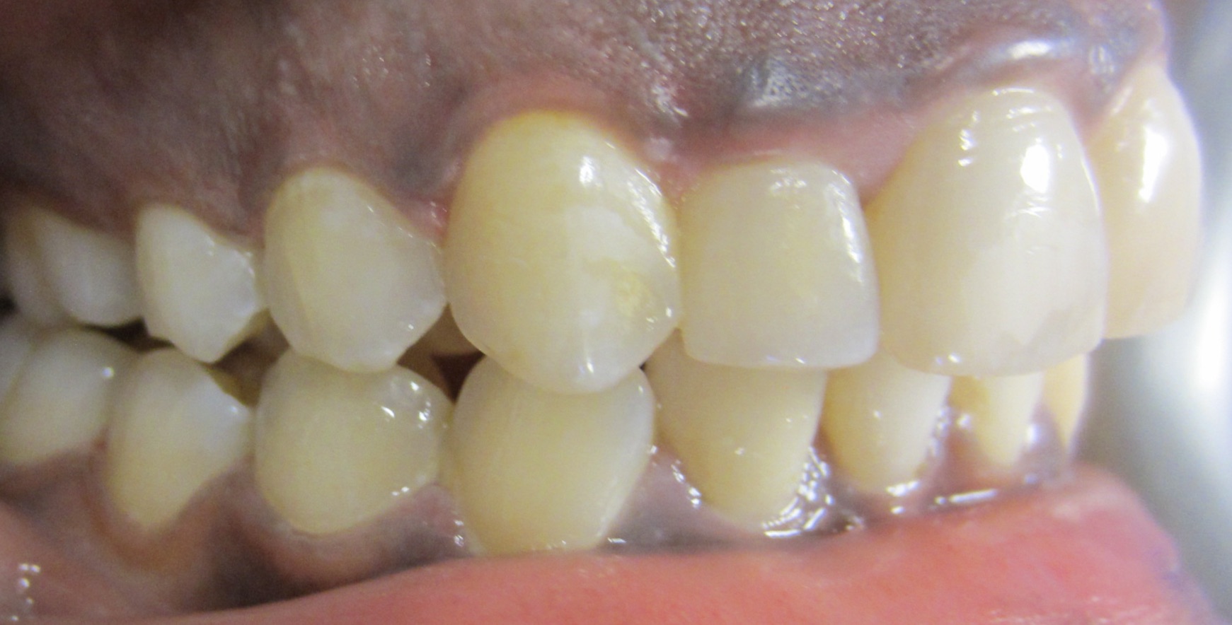
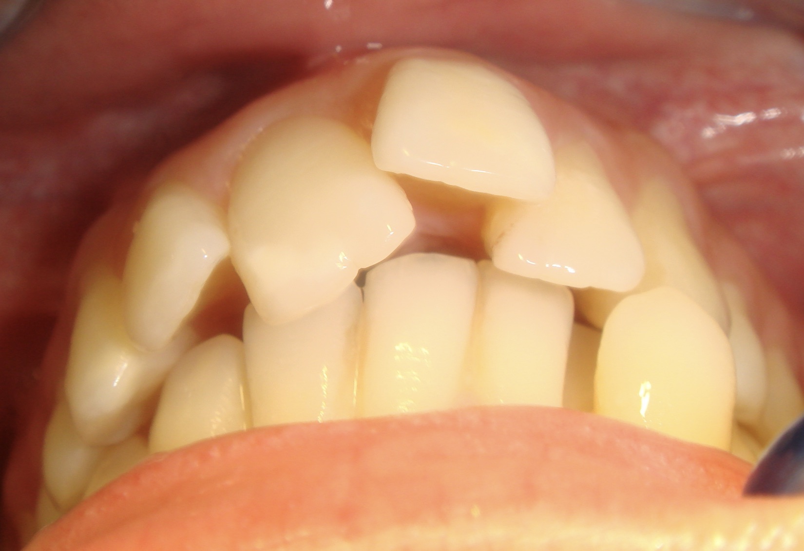
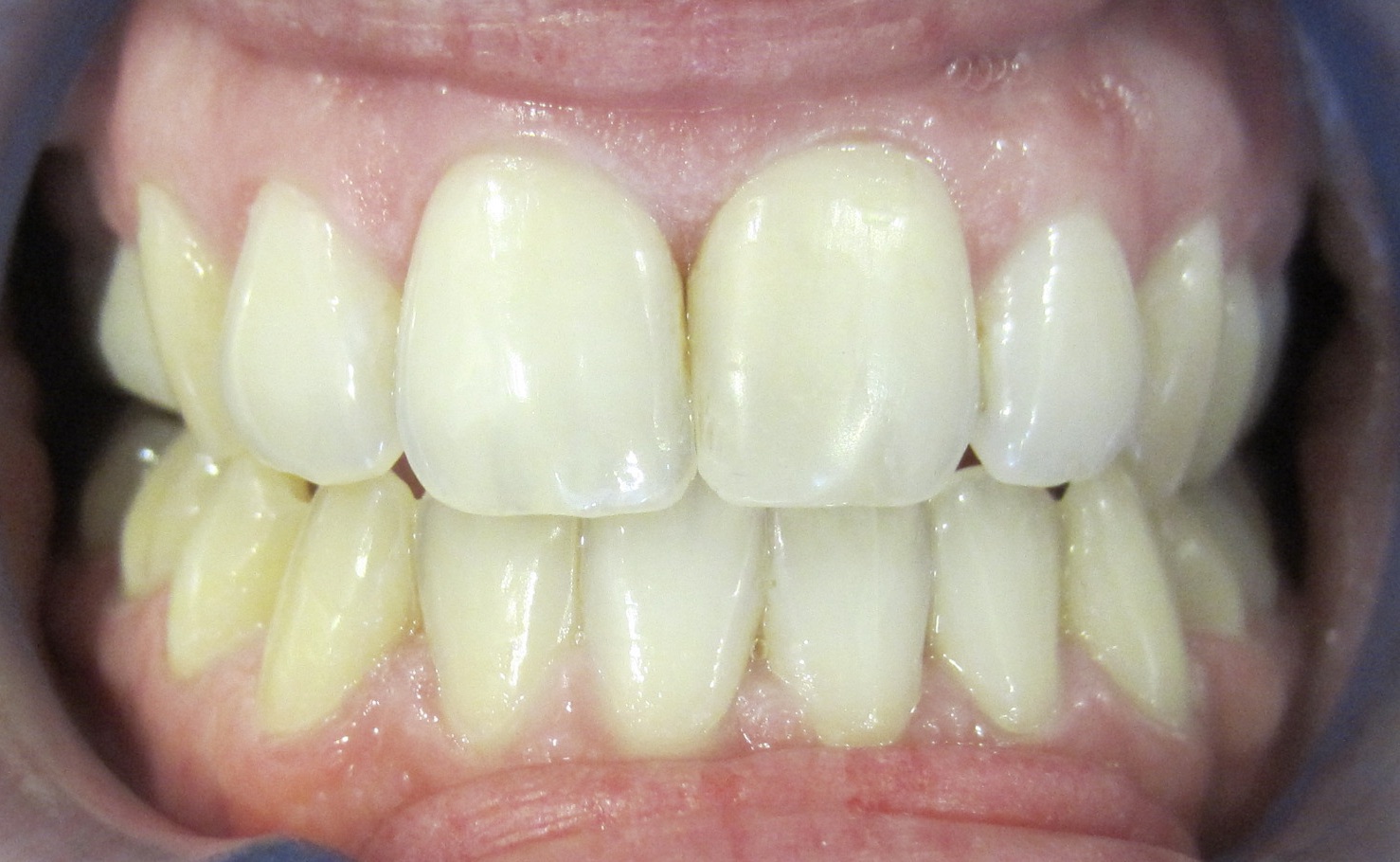
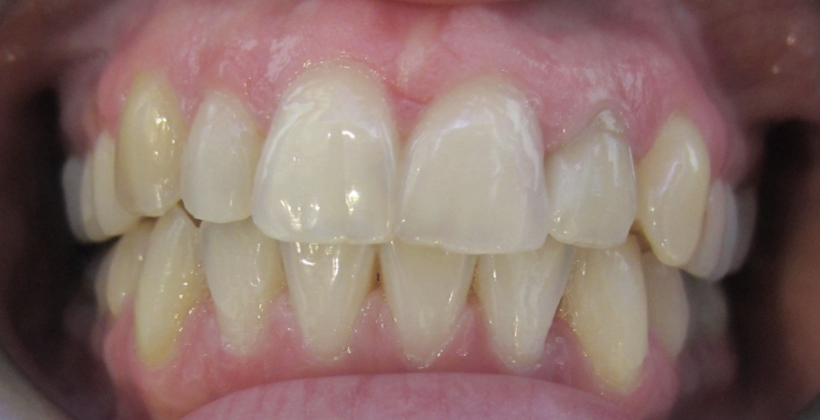
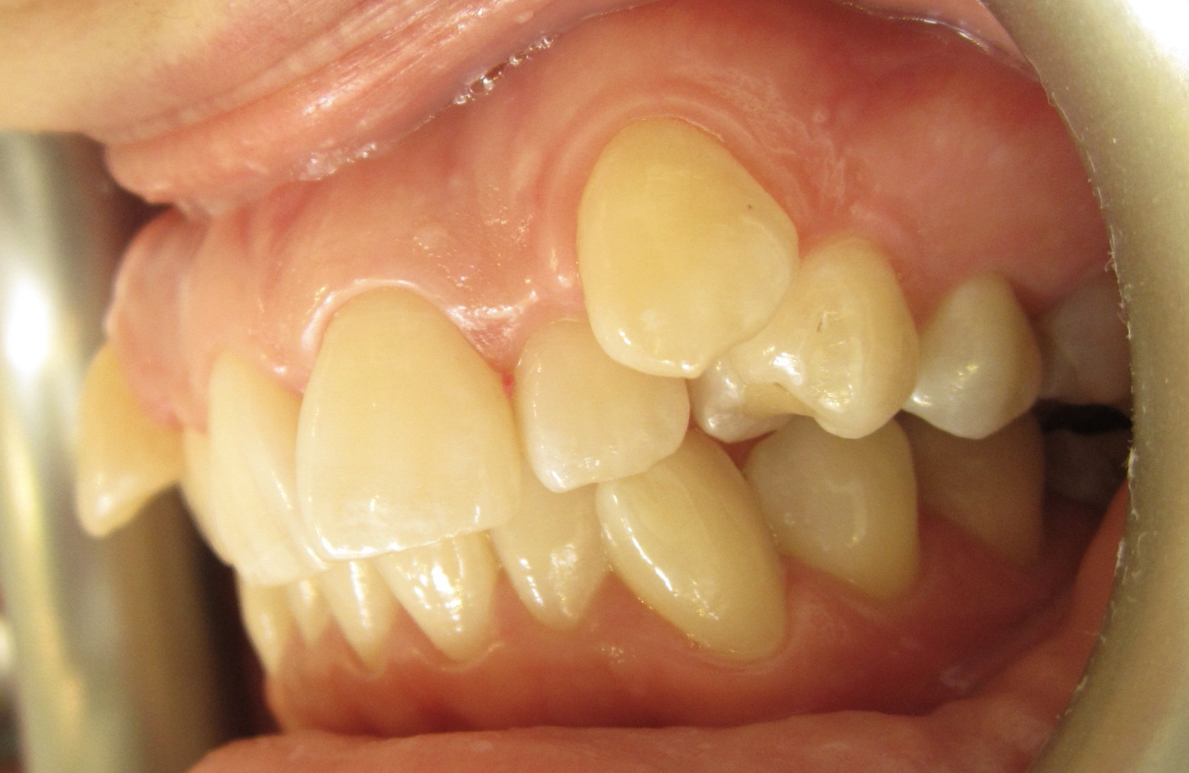
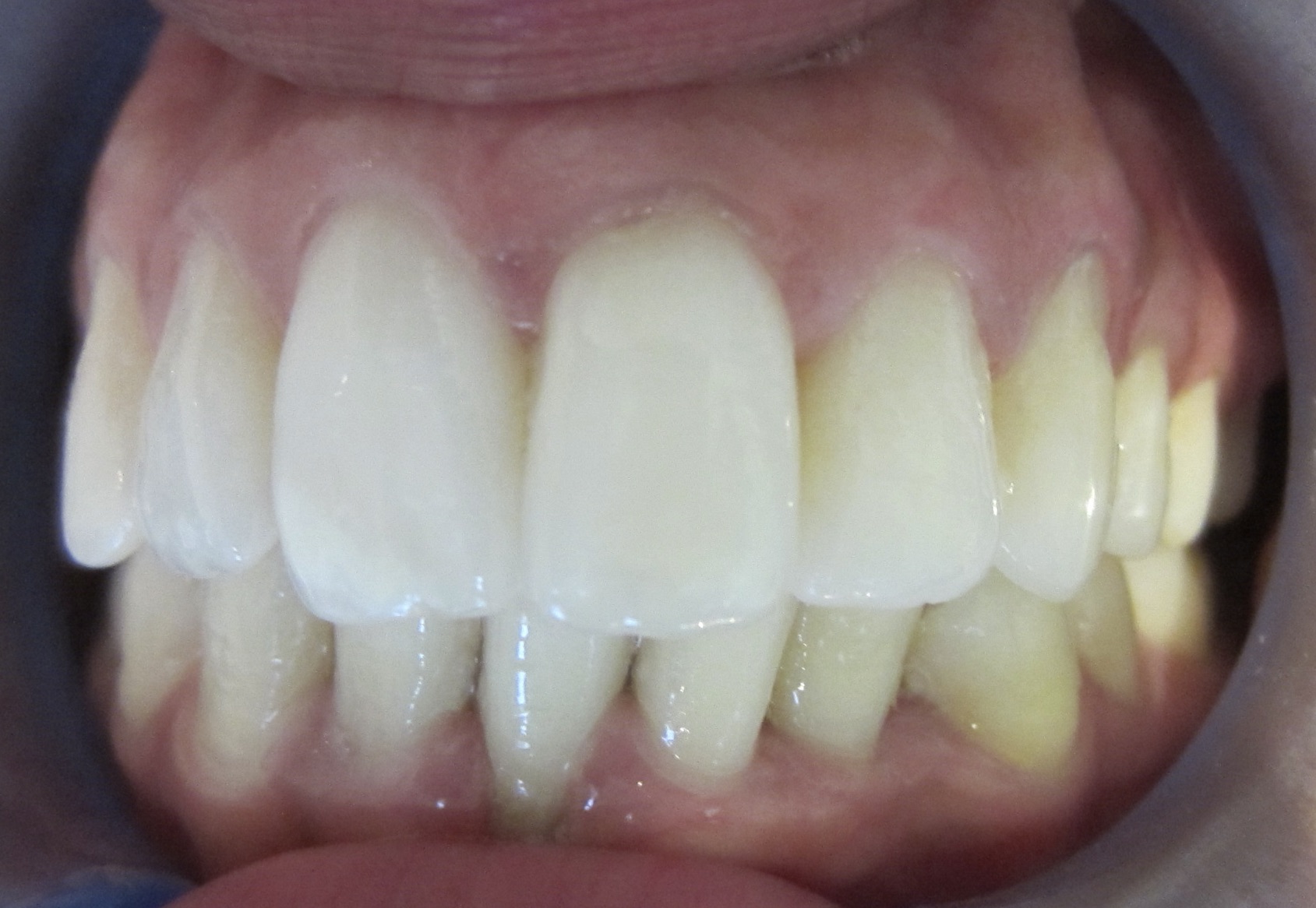
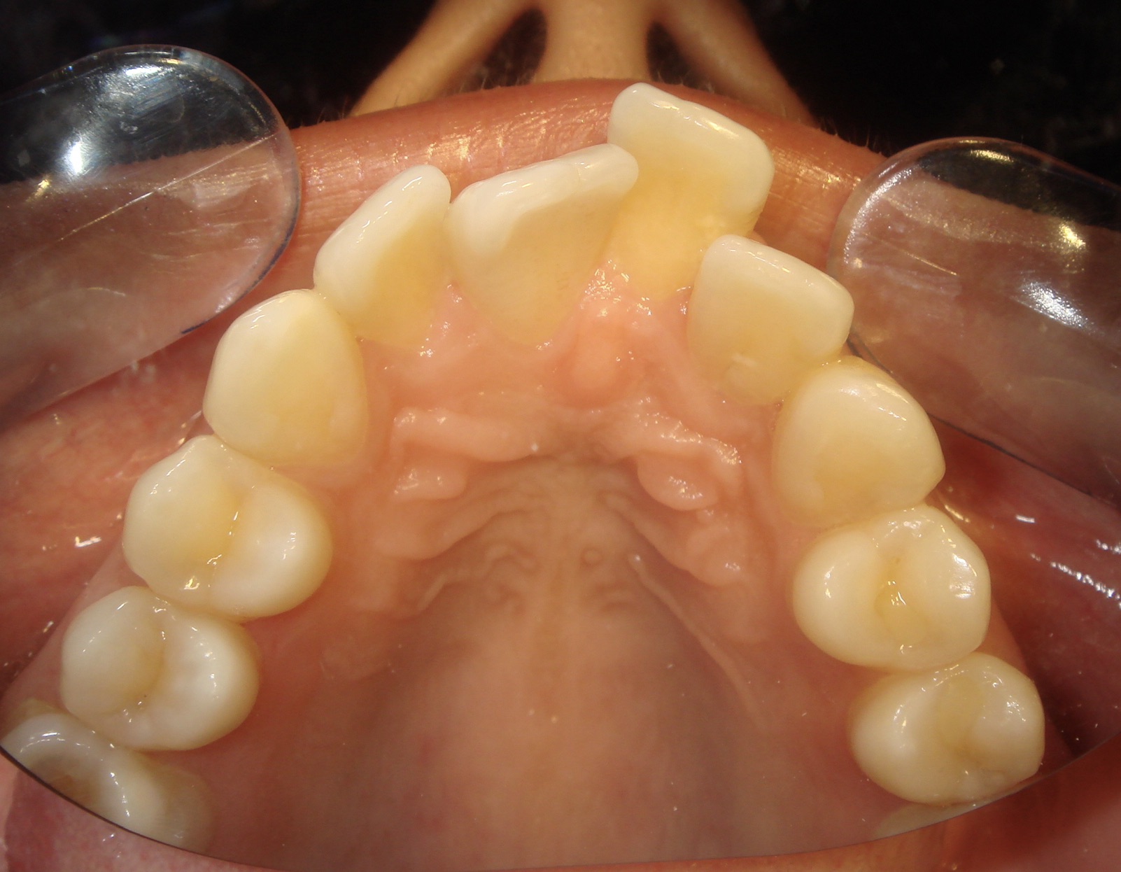
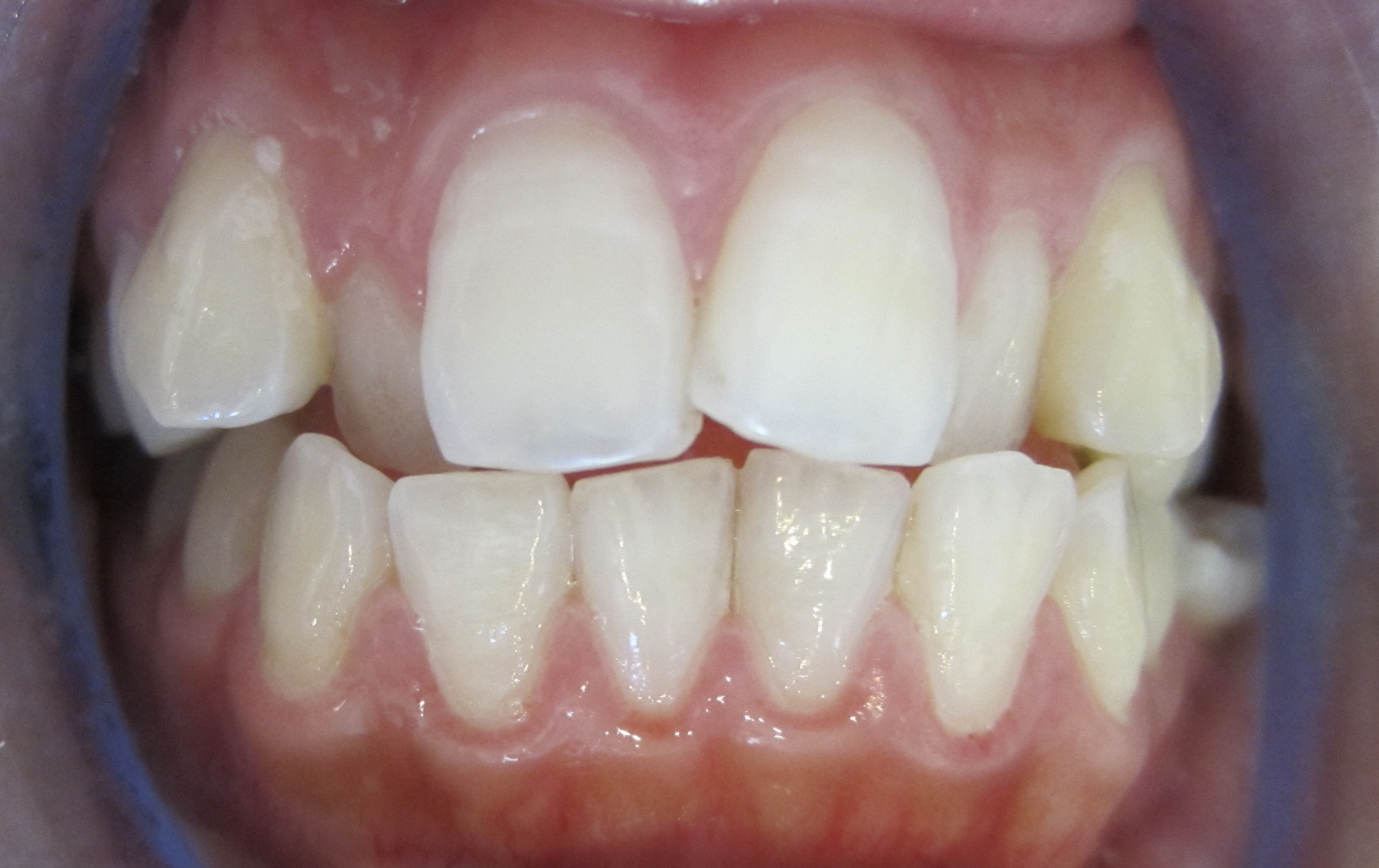
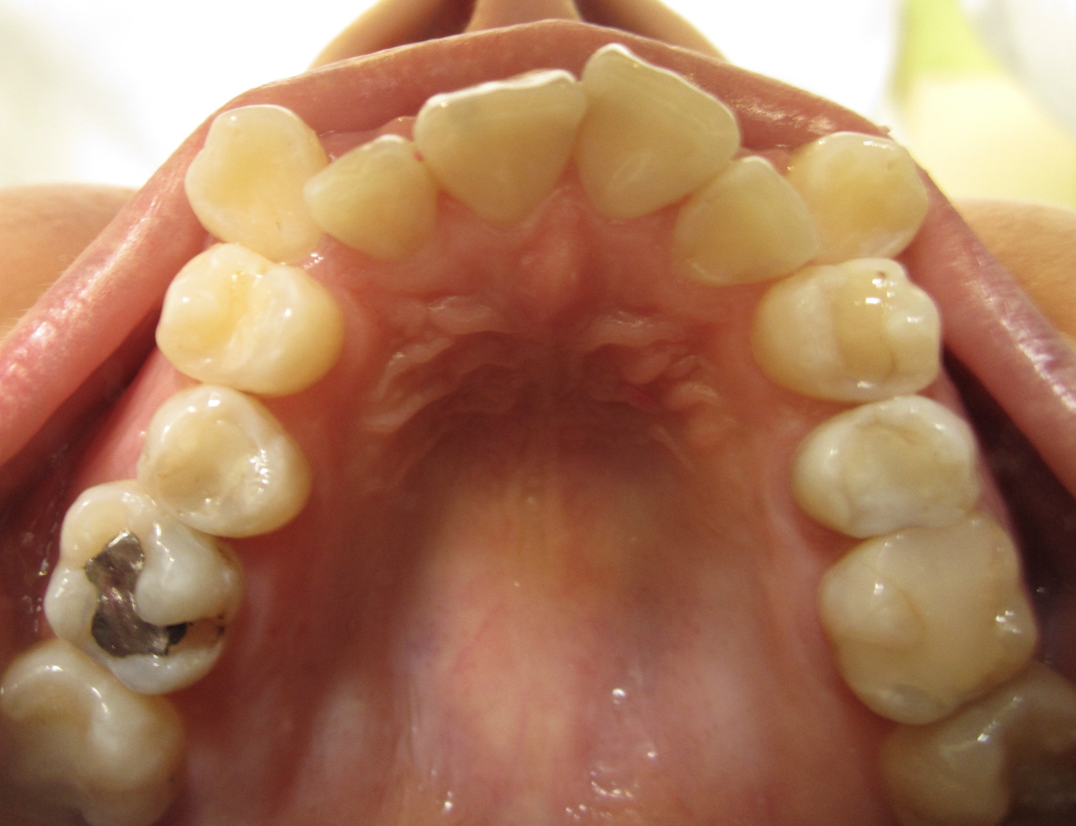
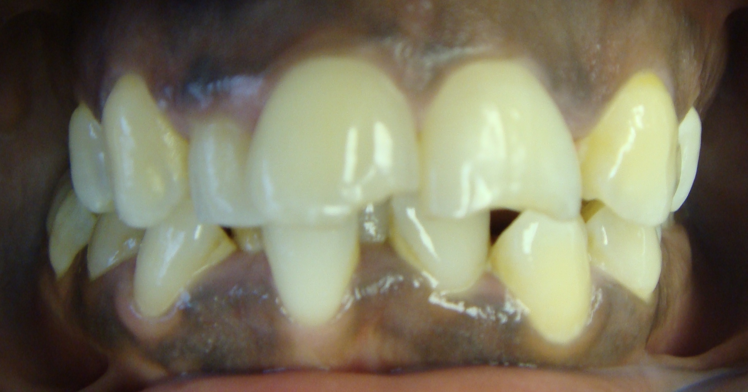
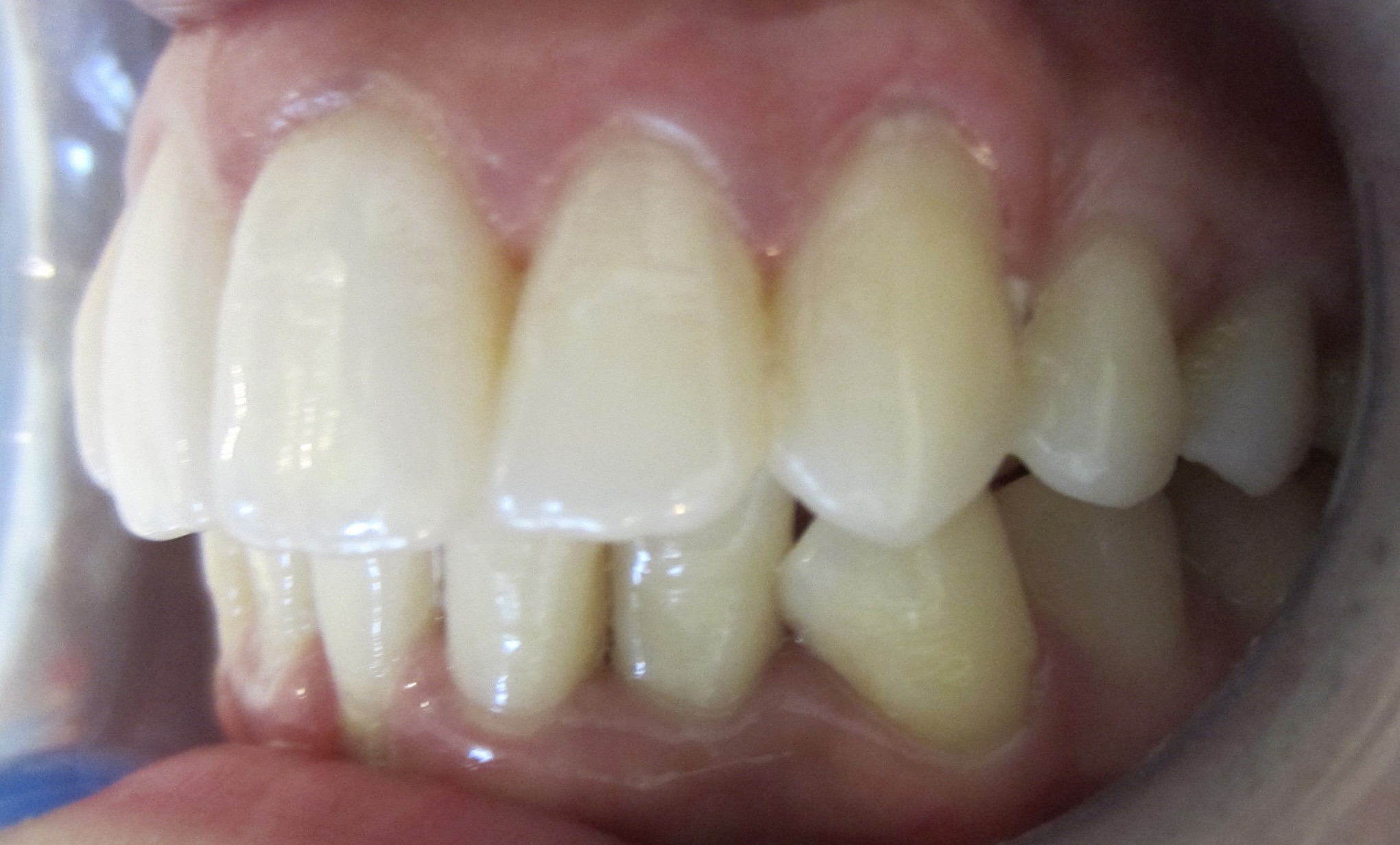
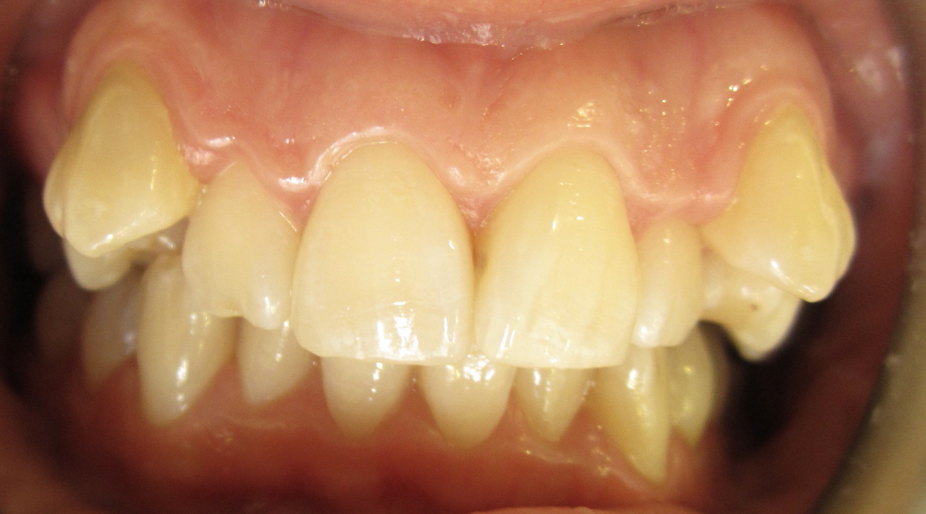
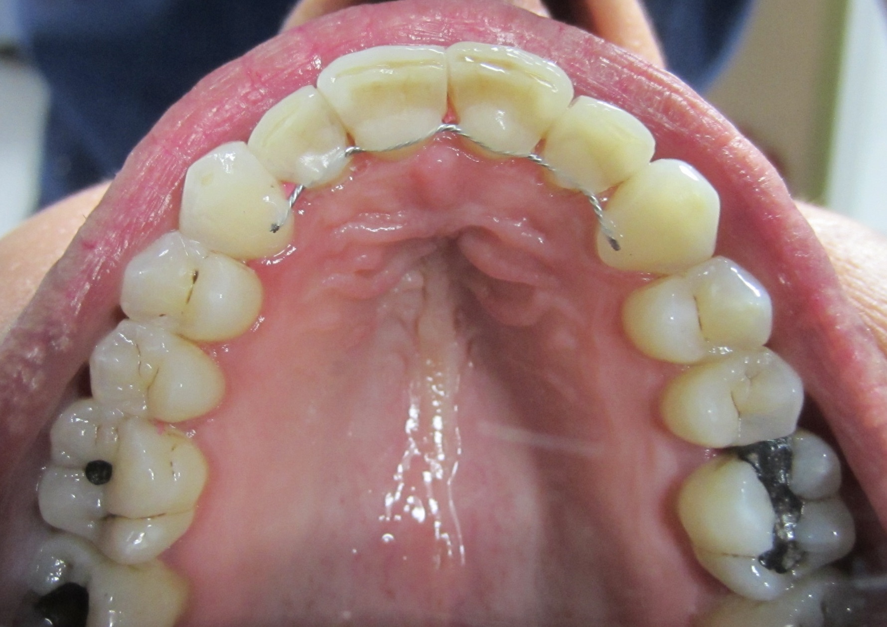
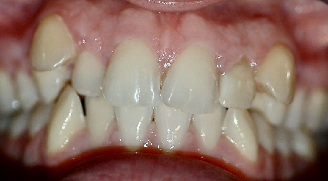
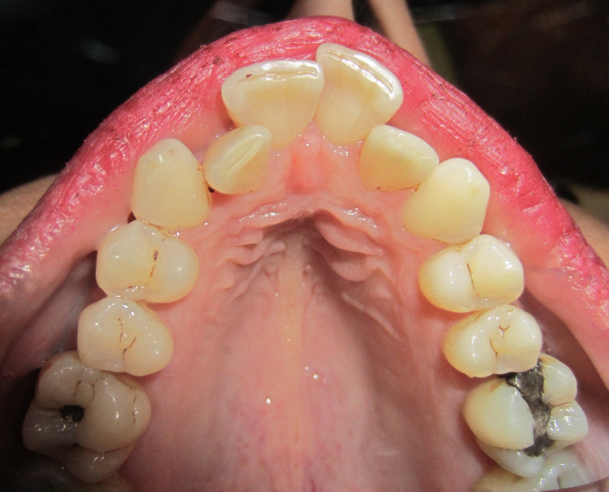
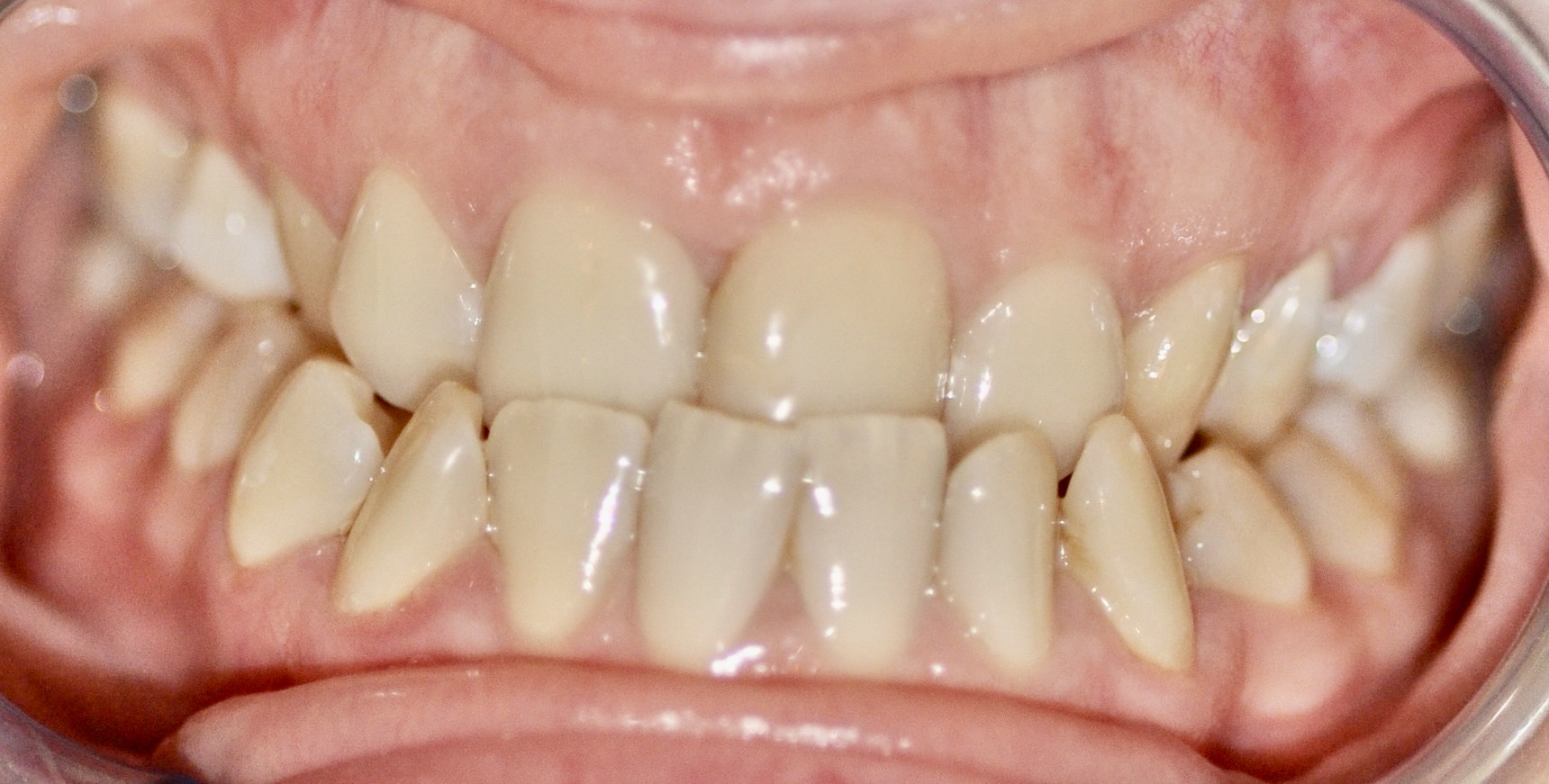
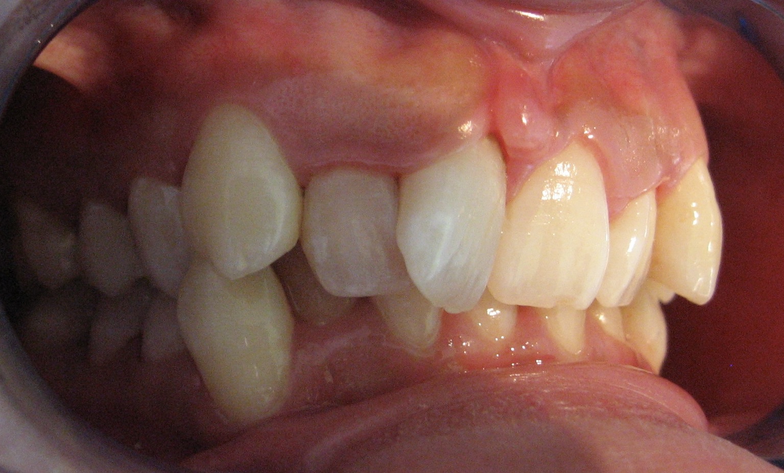
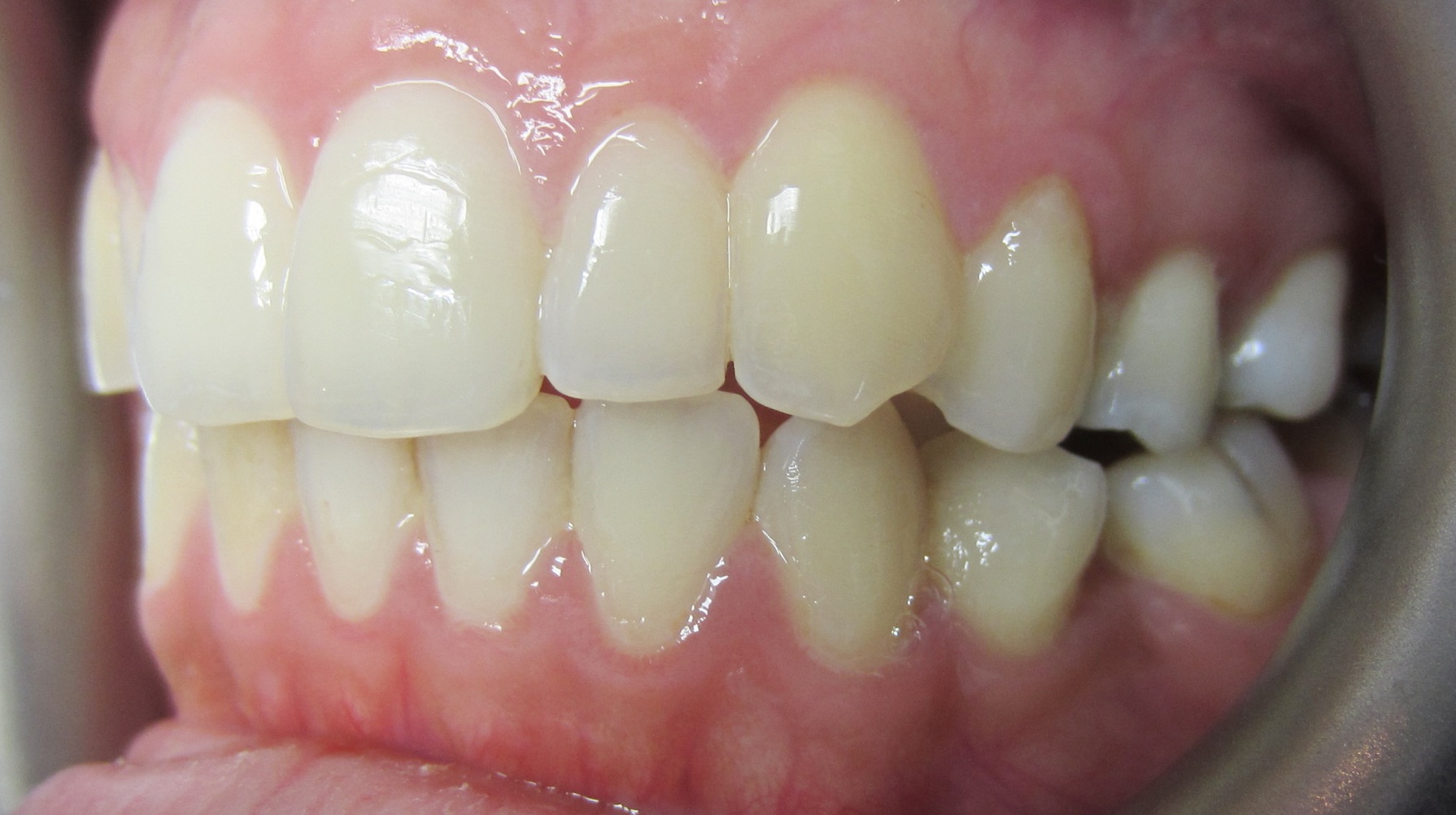
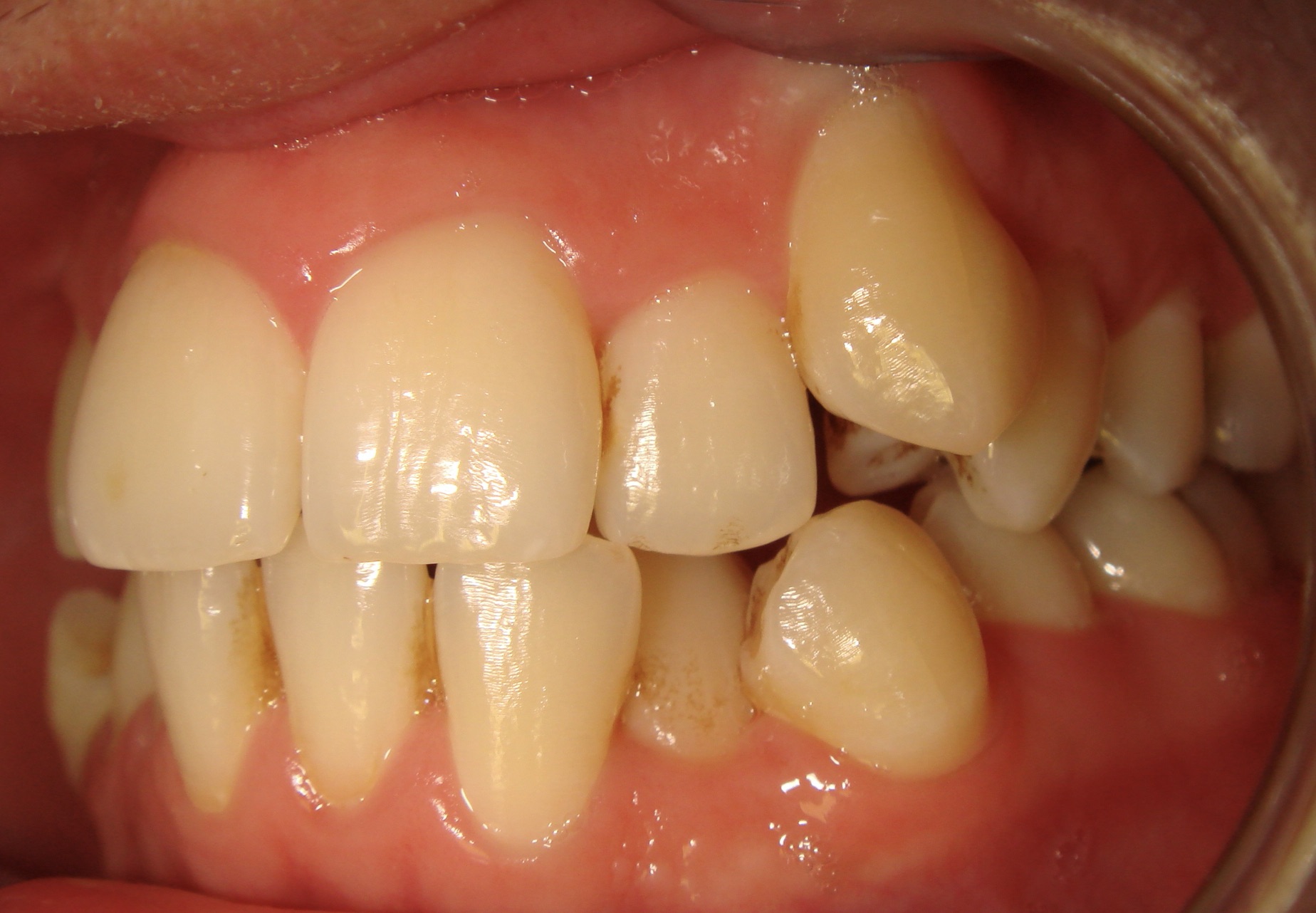
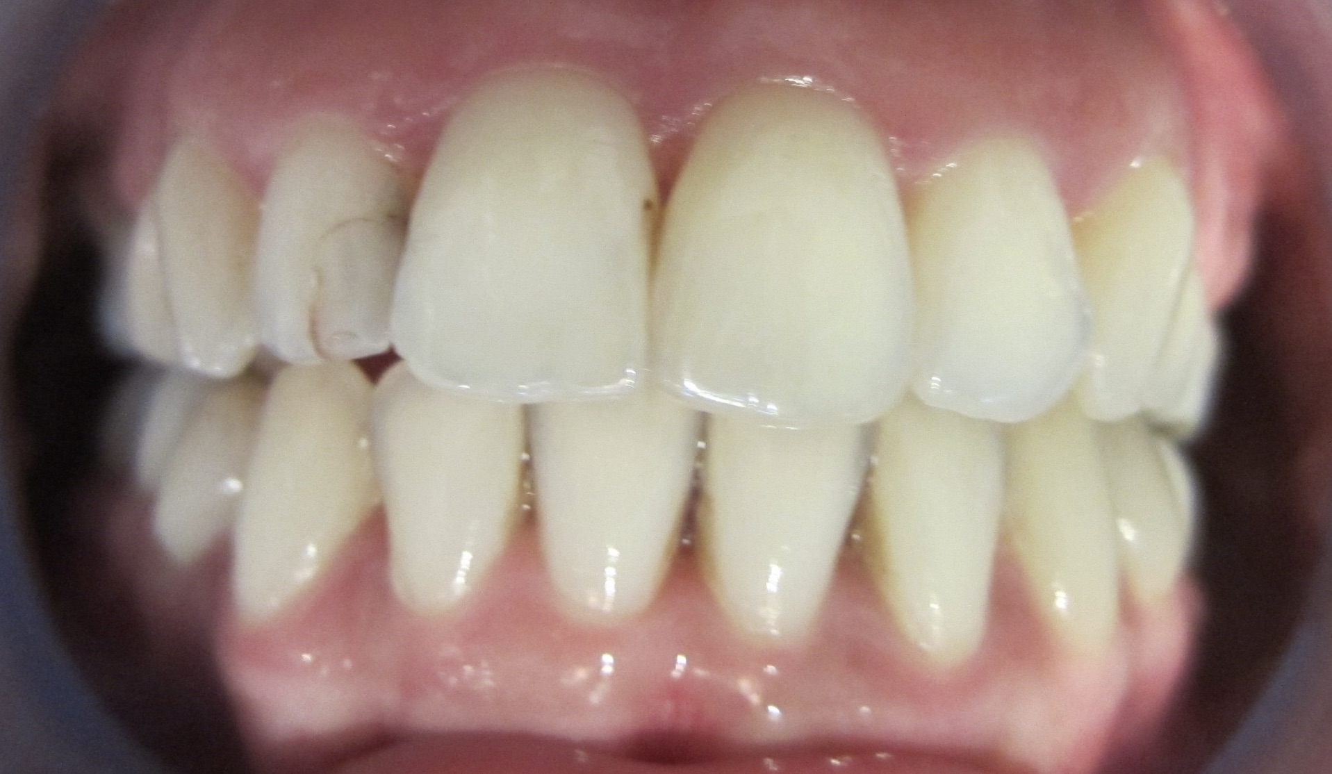
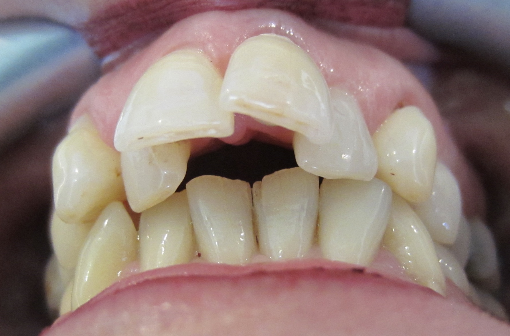
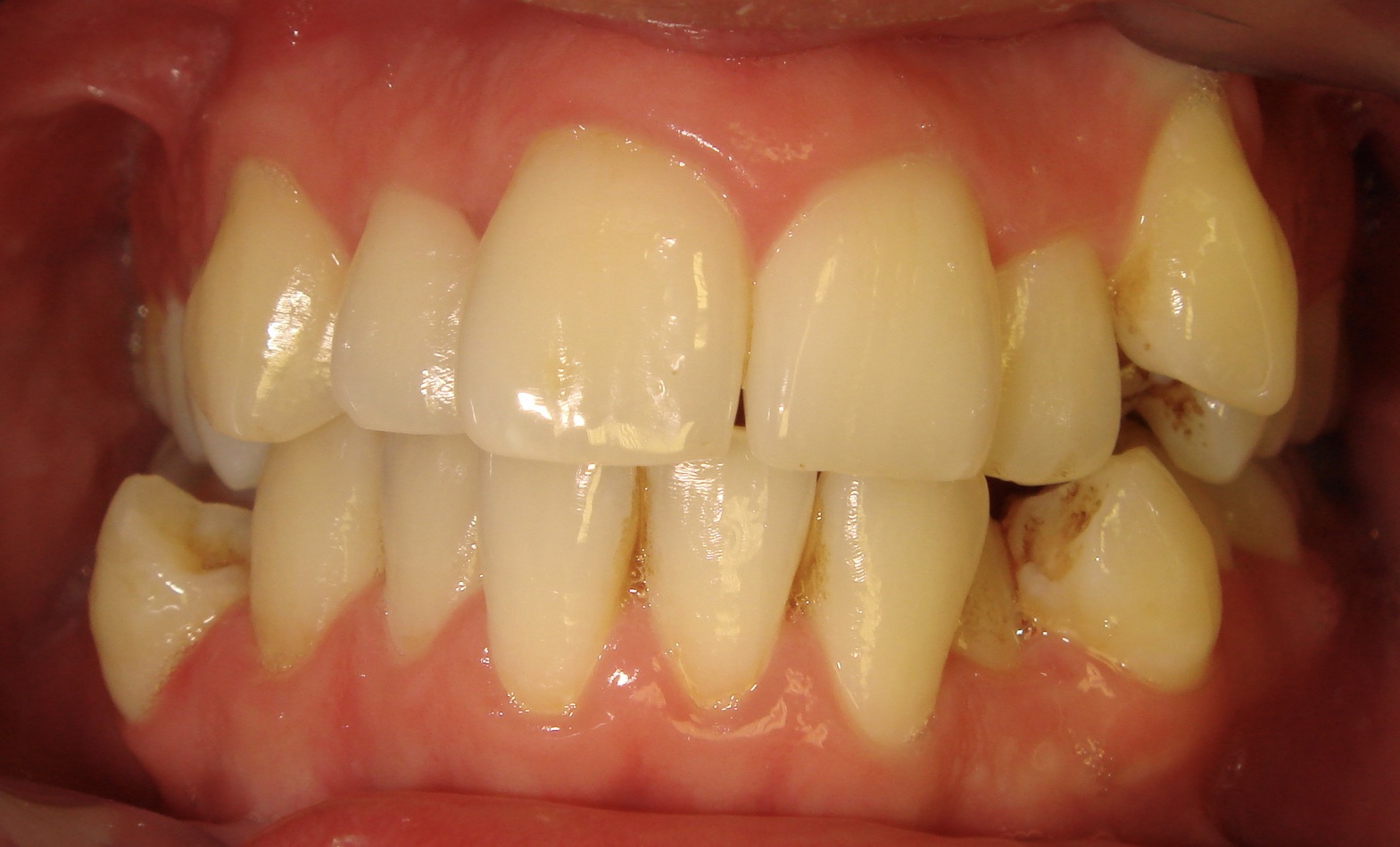
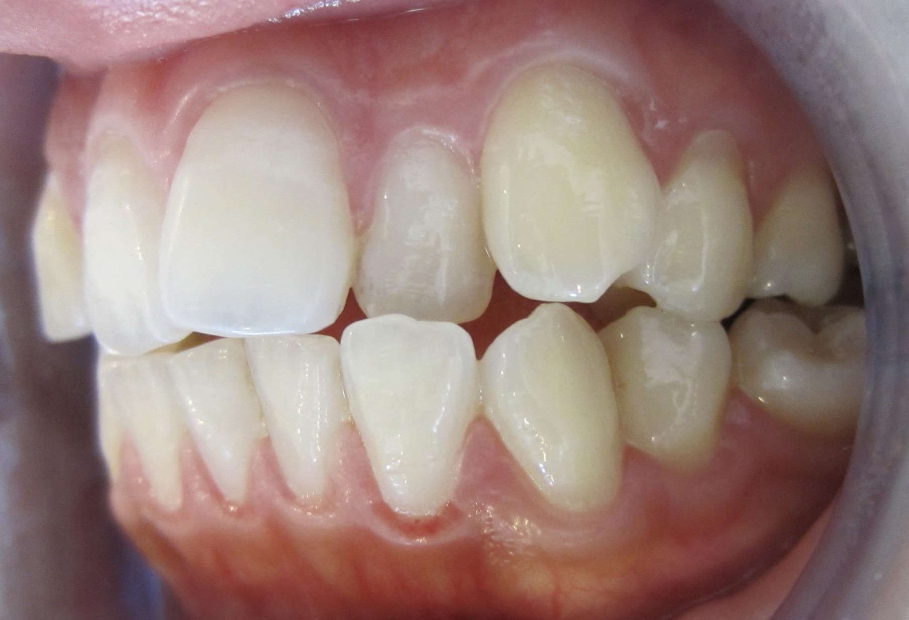
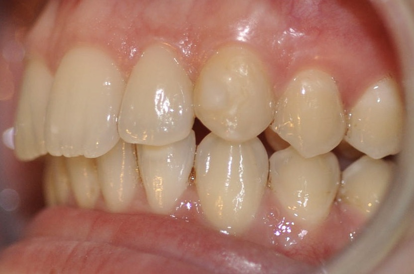
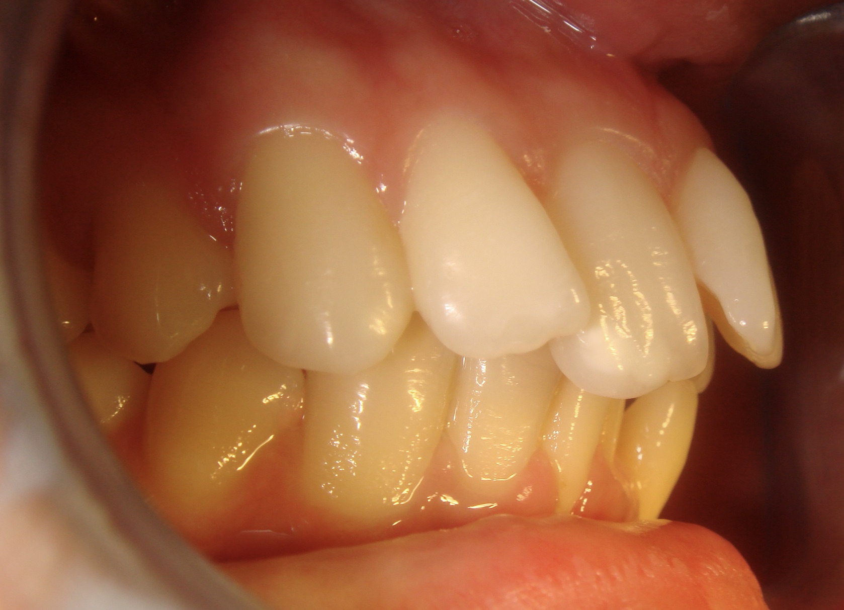
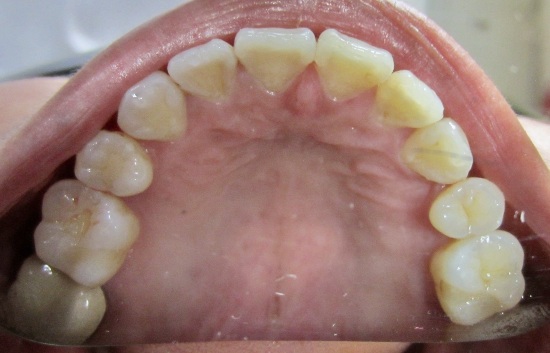
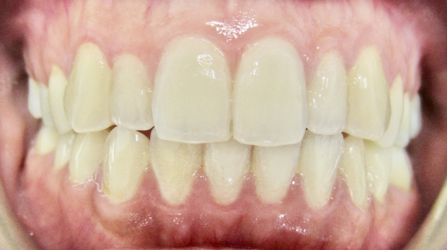
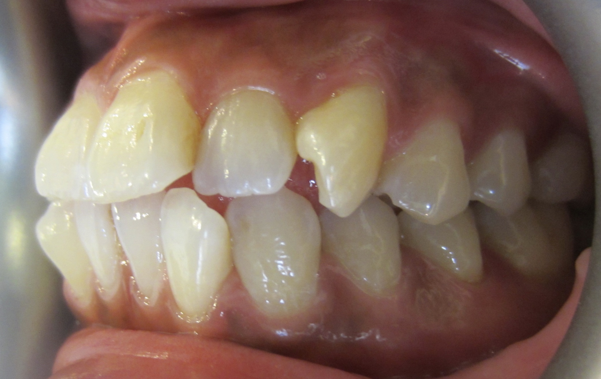
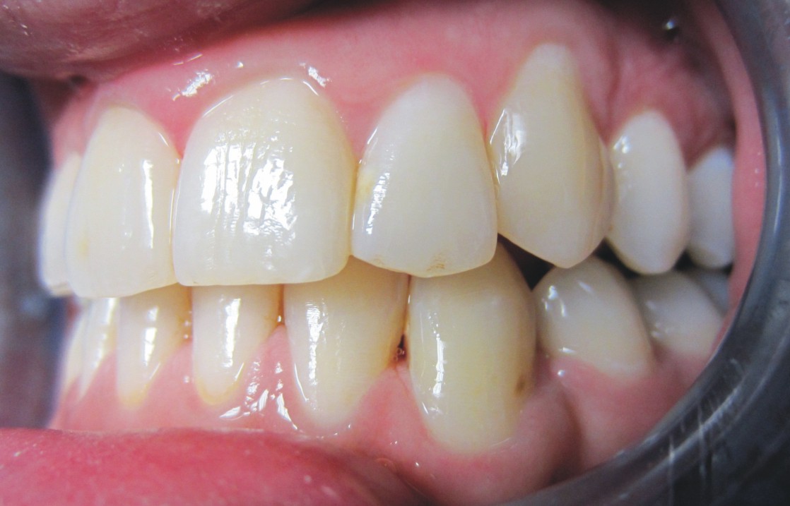
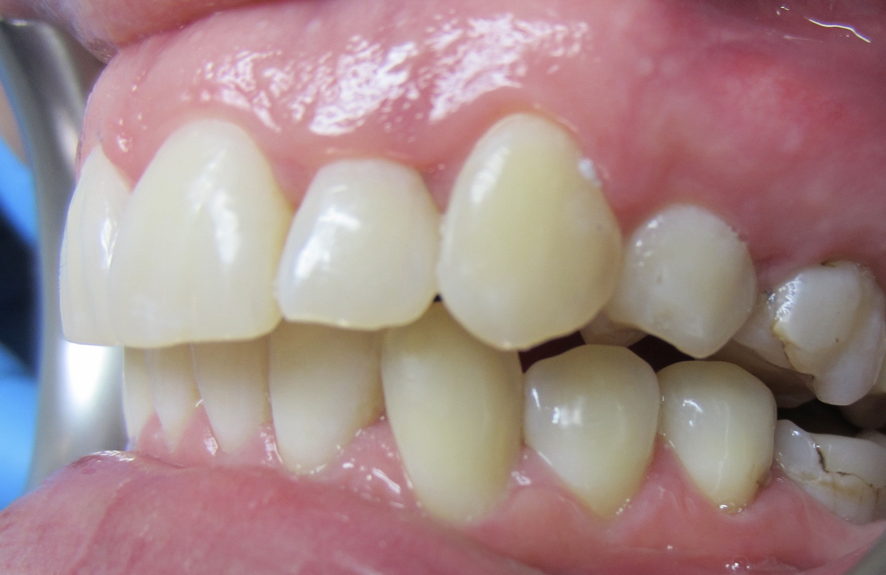
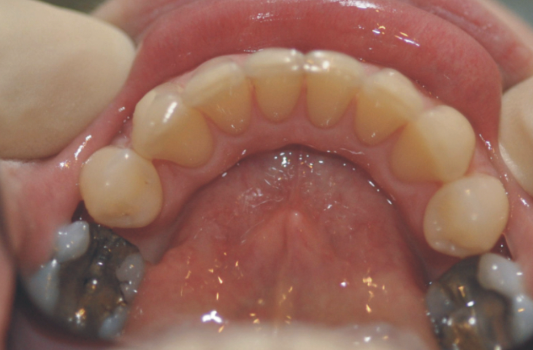
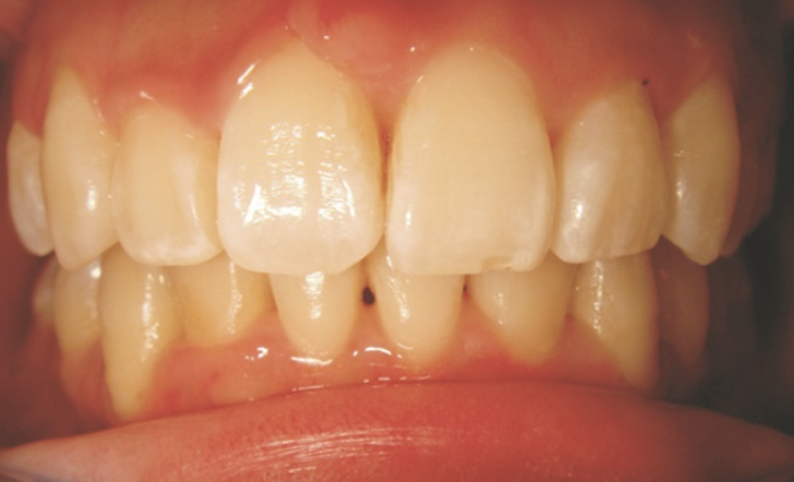
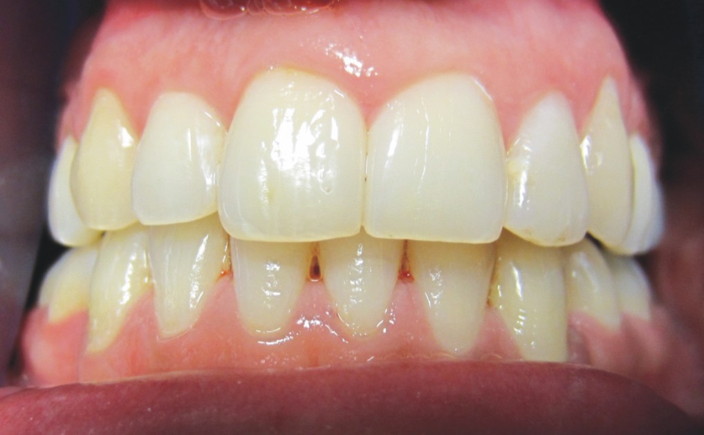
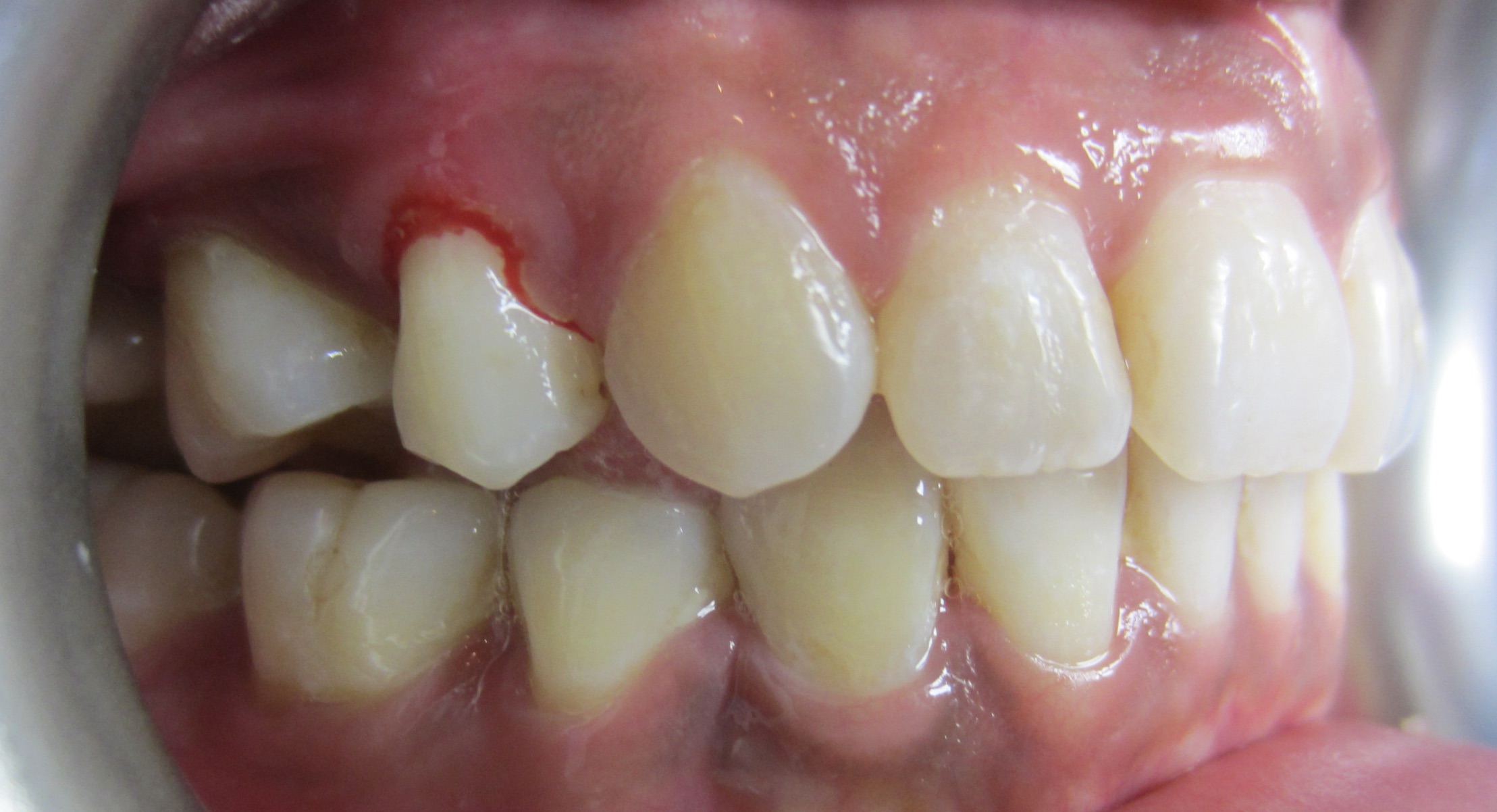
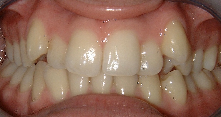
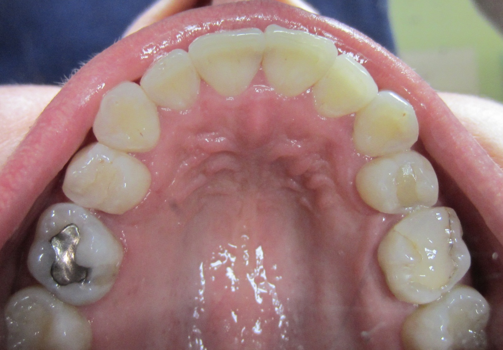
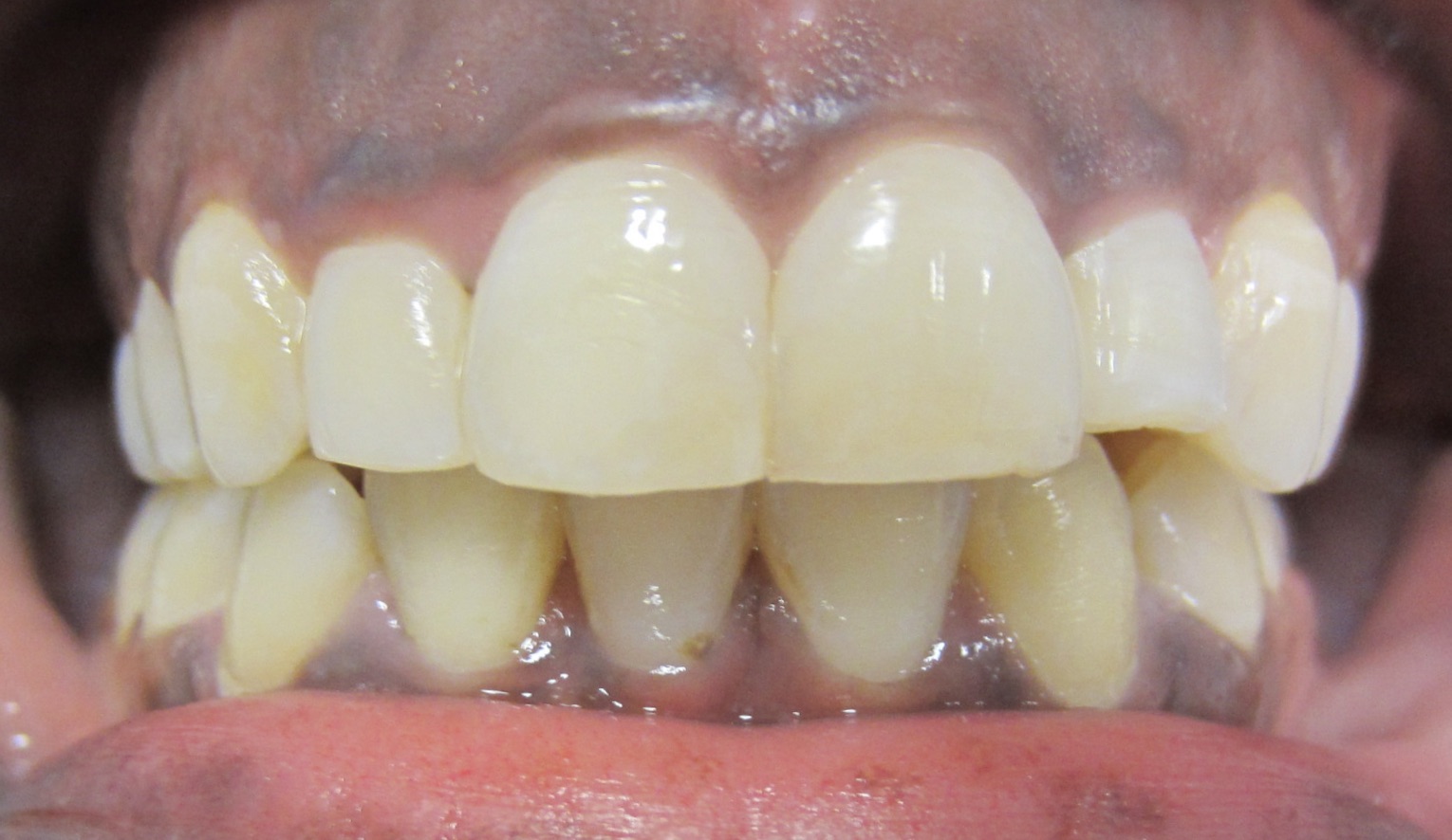
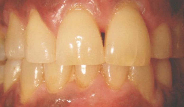
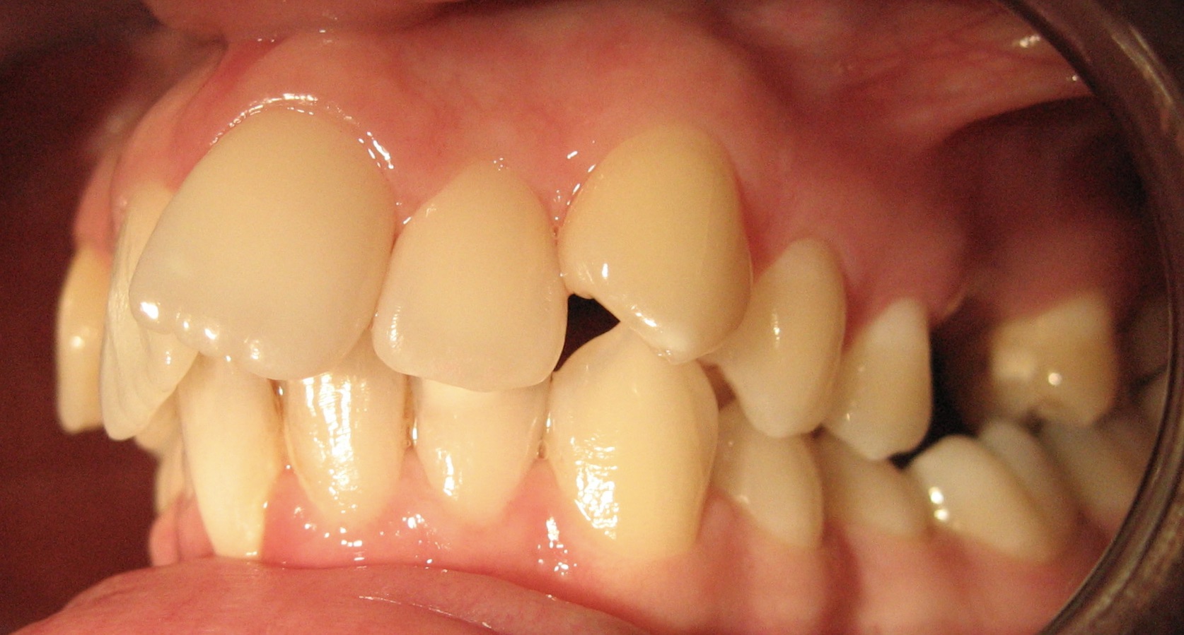
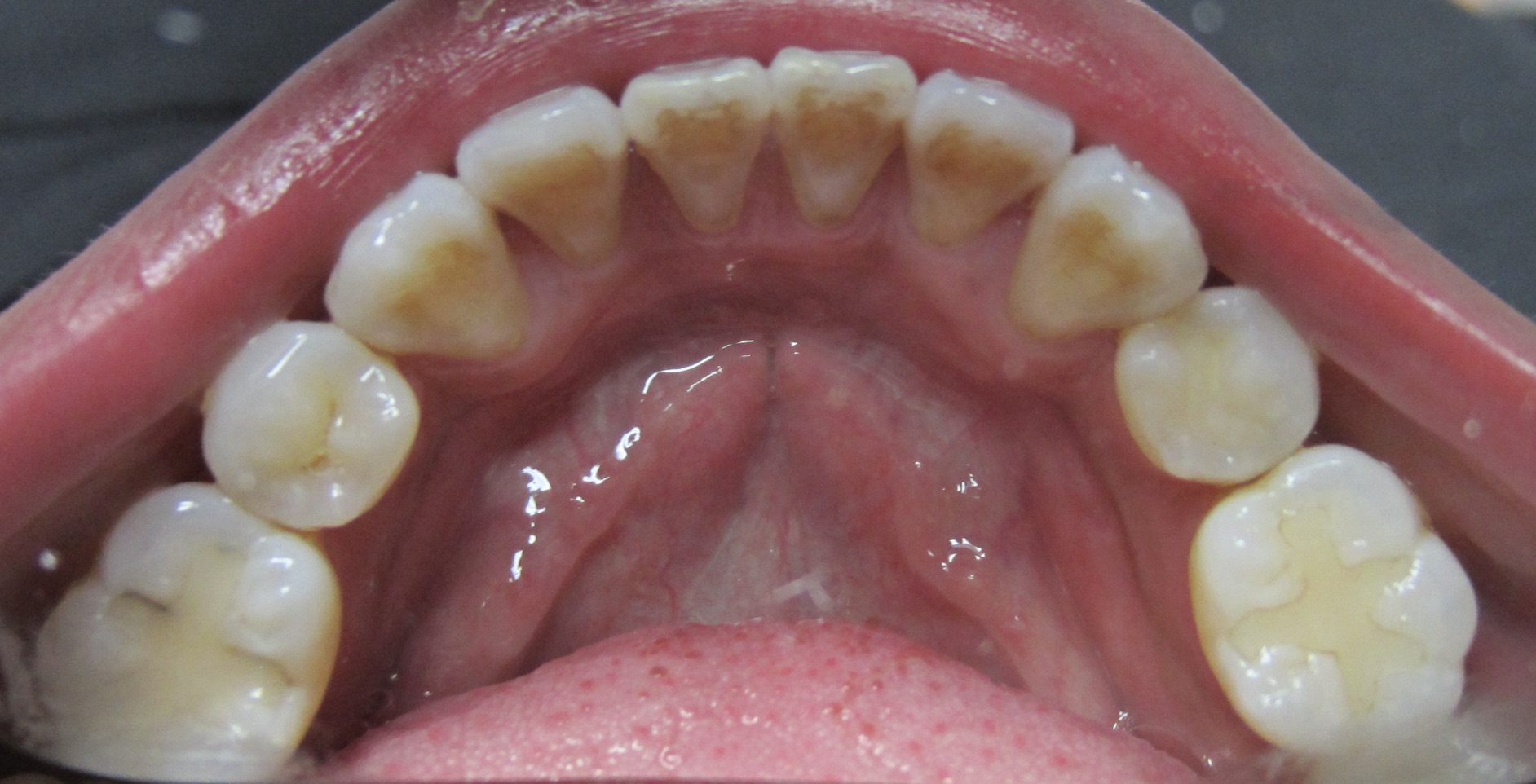
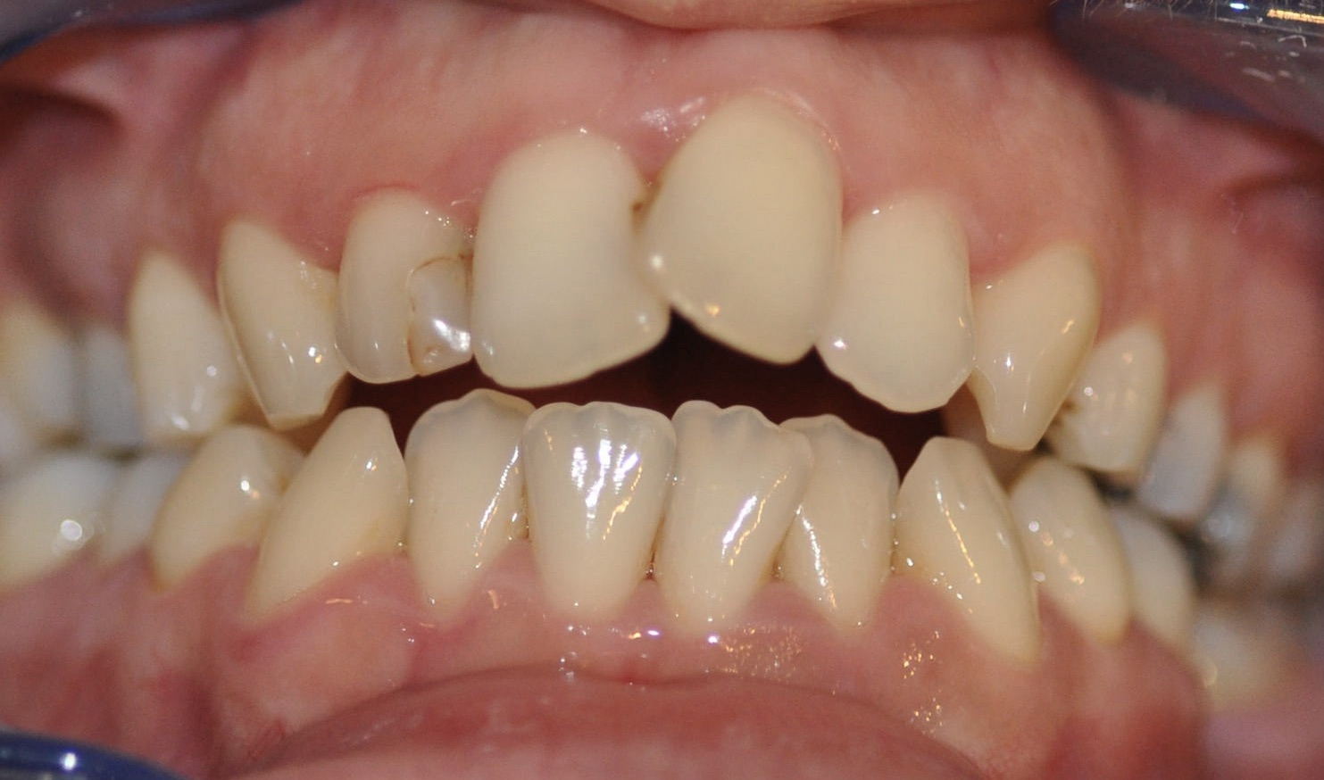
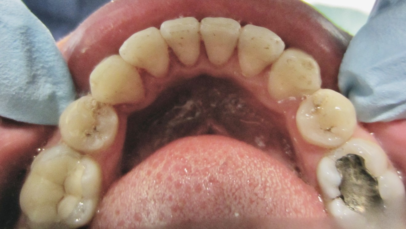
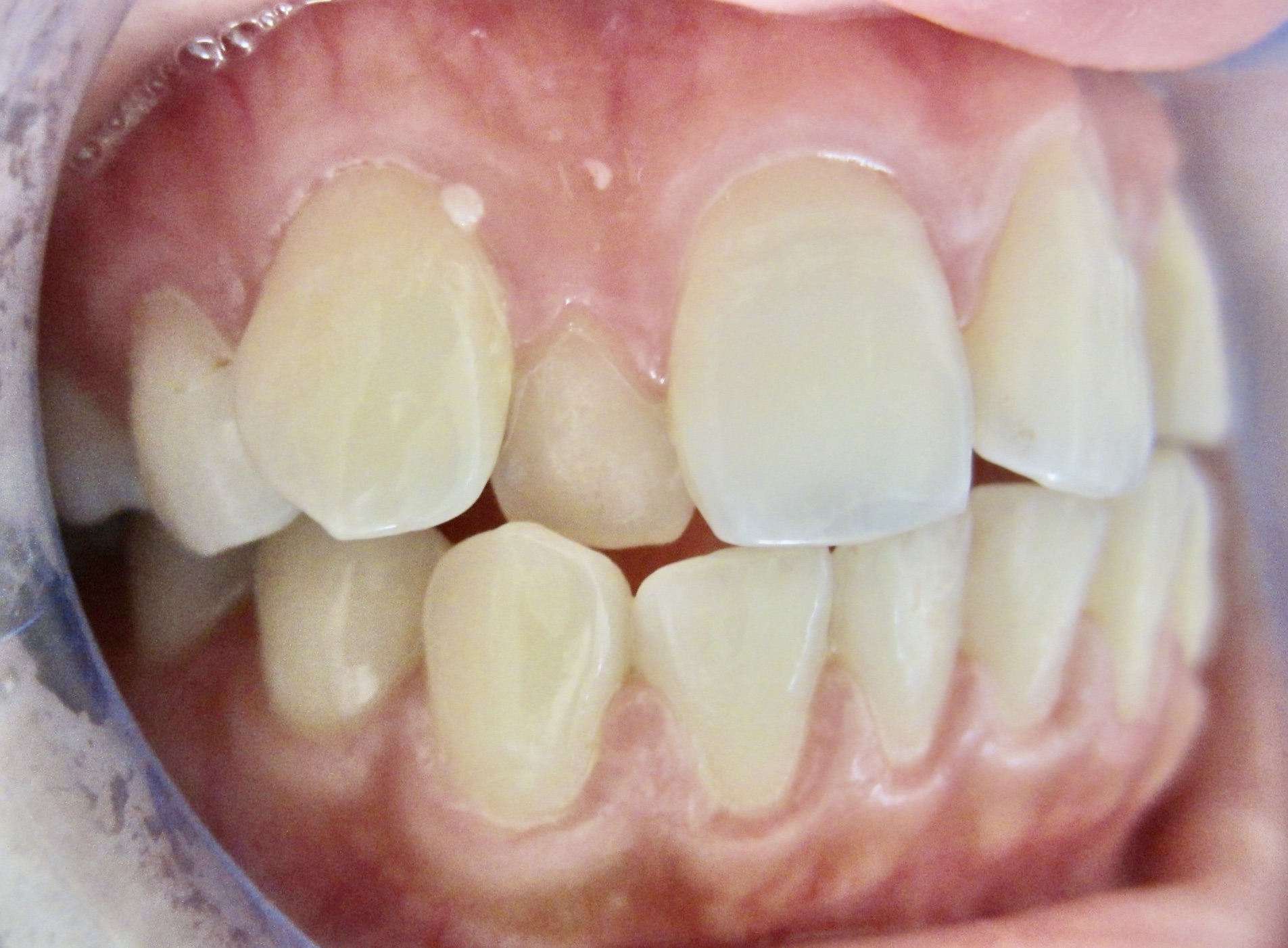
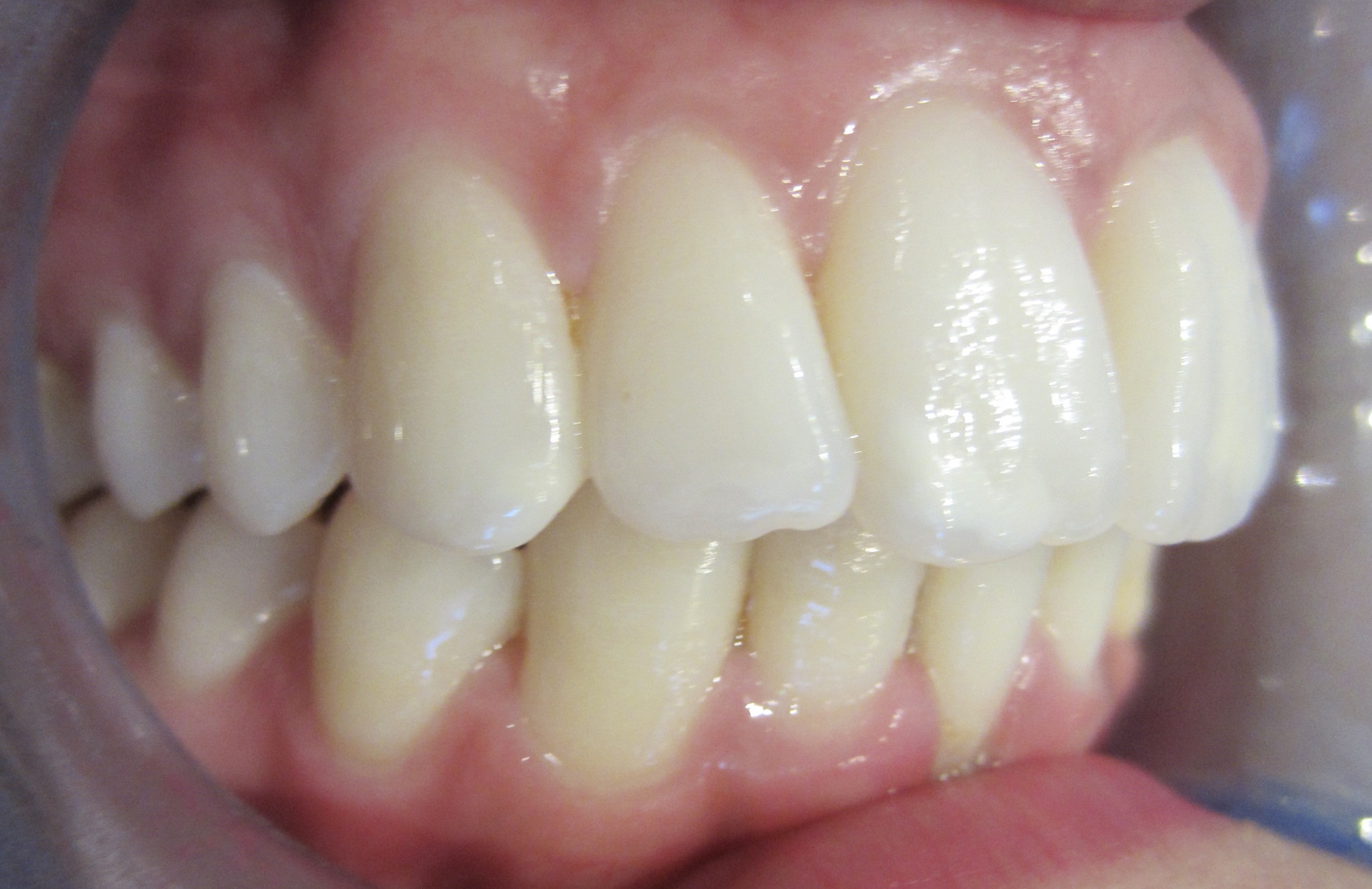
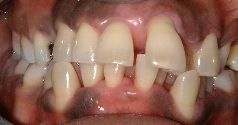
Straighten Your Smile with Invisalign for Crowding in Forma Smile
At our London clinic, we specialise in transforming smiles with Invisalign, especially for cases of dental crowding. Crowded teeth not only affect your smile’s appearance but can also impact your oral health. With our customised Invisalign treatments, we gently guide your teeth into perfect alignment, offering a discreet and comfortable solution. Enjoy the freedom of removable aligners and see visible results in less time than you might expect. Book your consultation today and take the first step towards a straighter, healthier smile!




































































