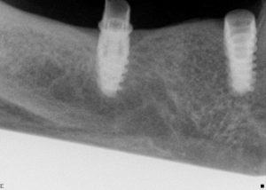
Accidental fall leading to loss of 4 front teeth
Replacement of Four Traumatised Maxillary Incisors with Two Implants...
Read More +Dental bridge or Dental Implant
Comprehensive Approach to Upper and Lower Anterior Teeth Removal...
Read More +Replacing tired old crowns
From Metal Ceramic to Zirconium: When 20-Year-Old Crowns Need Replacing....
Read More +When a bridge is alternative to a denture or implants
Bridges vs Dentures: Why Fixed Solutions Change Lives** Our patient...
Read More +Treating an anterior crossbite of the laterals
At Forma Smile, we specialize in solving complex orthodontic challenges...
Read More +How to restore the bite when teeth have shifted
How to restore the bite when teeth have shifted Restoring...
Read More +When you want to change your profile, taking teeth out is part of the plan
Removing teeth can sometimes be a necessary step in...
Read More +Face changes with Invisalign extractions
Many of our patients want to have their teeth straightened...
Read More +Severe crowding calls for tooth removal, but which ones?
Severe dental crowding usually necessitates the removal of 2 teeth...
Read More +Moderate crowding treated without metal braces
Having braces as a teenager is no guarantee that the...
Read More +Upper tooth drift related to a palatal tooth bump-Dens in Dente
Teeth can develop in many ways and sometimes an abnormal...
Read More +Orthodontic relapse overjet treated with Invisalign
Most adults may have had orthodontic treatment as a teenager...
Read More +Using Invisalign to reduce the facial profile
Overjet issues Why do you get an overjet? Sometimes teeth...
Read More +The only way is Out
How to reduce a large overjet with Invisalign Not all...
Read More +How to get another 20 year smile when you have lost some teeth
A gap in your smile can be from simply missing...
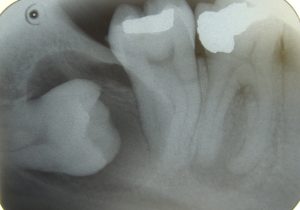
Read More +Why you should get your wisdom teeth x-rayed part 2
Most people still possess the terminal molars, also known as...
Read More +Arch expansion
Arch expansion Many patients have narrow dental arches from thumb sucking...
Read More +Start your Smile with Invisalign at Forma
Invisalign is the world’s most advanced clear aligner system. Only...
Read More +Patient Reviews
“From the start Dr Kumar and the FormaSmile team have...
Read More +When the tooth is completely gone
Over time repeatedly filled teeth can sometimes snap off at...
Read More +Replacing failing teeth
Teeth can be repeatedly filled when broken, with bigger and...
Read More +Replacing failing teeth
Teeth can be repeatedly filled when broken, with bigger and...
Read More +8 Reasons to choose FormaSmile.
1. Experts in our area With over 30 years’ experience...
Read More +Fizzy drinks and tooth erosion part 2
Original Coke, original sin? The PH or acidity of a...
Read More +Fizzy drinks and tooth erosion part 1
Coke, Pepsi, carbonated water and even Red Bull contain dissolved...
Read More +Extreme lower crowding and tidying up the uppers with Invisalign
Dental crowding can happen over many years. Sometimes from the...
Read More +When you think your smile is hopeless
Dental development involves the replacement of the baby teeth (from...
Read More +What is Expanding the dental arch and why?
The dental arch is defined as the space within which...
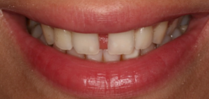
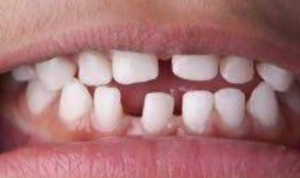
Read More +How long to close my gap?
A midline diasetma or gap can be present for many...
Read More +Proclined teeth and the Eline
The E line The E line is an imaginary line...
Read More +Tooth drift and how to treat it
Spaces between teeth can occur in many ways. A patient...
Read More +Why you should get your wisdom teeth x-rayed part 1
In general practice the dentist will normally examine you radiographically...
Read More +How to get a smile like Julia Roberts
Julia Roberts is known worldwide as a beautiful woman, a...
Read More +Can Invisalign ruin your teeth?
Invisalign is a removable orthodontic system made up of a...
Read More +How expensive is Invisalign?
Question is how much do you value your smile? What...
Read More +When extracting a front tooth makes sense with Invisalign
Extreme lower crowding can mean a tooth needs removal in...
Read More +Restoring missing teeth with implants
Teeth can be lost for a variety of reasons; decay,...
Read More +Invisalign can easily fix spaced out teeth
Many patients are too embarrassed to have braces as adults....
Read More +Invisalign can easily fix spaced out teeth
Many patients are too embarrassed to have braces as adults....
Read More +Restoring drifting failing teeth with implants
Gum disease can cause bone loss and drifting of teeth....
Read More +How to fix a crossbite with Invisalign
Miss KD was a shy person with a poor smile...
Read More +Implant disease
Implants have been around since 1965 and were originally used...
Read More +