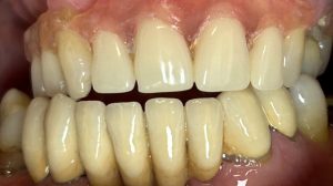
Replacement of Four Traumatised Maxillary Incisors with Two Implants...
Read More +Forma is a boutique dental practice that offers patients well over 30 years of experience in cutting edge dental technology. We understand that not everyone enjoys going to the dentist, so we try to make it painless and offer long term solutions to every day dental problems.
Dr Raj Kumar created Forma in 2000 and was originally situated in Harley St London. Forma continues to be at the forefront of Smile Makeovers, Invisalign orthodontics and Immediate dental implants.
Dr Raj Kumar has created hundreds of beautiful smile makeovers and is truly a master at making his patients look 10 younger!
Patients leave after their journey with Forma as extremely happy and confident people.
All the patients are treated as individuals, and we know that we can offer many solutions to any dental problem.
Ximeng Ren22/07/2024Trustindex verifica se a fonte original da avaliação é Google. I've been wearing Invisalign here for over a year now, Dr. Raj is very responsive and communicates with me, I'm currently half way through the process and I'm very happy with how it's going now. Xi Wang (Sissy)15/07/2024Trustindex verifica se a fonte original da avaliação é Google. I started my Invisalign treatment in February 2024 at Forma Smile & Beauty. Currently, I am on the 12th aligner out of 19 - I can already see the difference! Through regular check-ins with Dr. Raj Kumar, I feel confident about the results I would expect at the end of my treatment - of course, because of his professionalism. I have never felt stressed when visiting the practice, as Dr. Raj Kumar and Alejandra are always friendly and patient. I can always get an immediate reply from Forma Smile when I have questions about my plan or I need to book an appointment. I would highly recommend Forma Smile if anyone wants to get an Invisalign treatment! And for sure I would 100% go for Dr. Raj Kumar if I have any other dental issues in the future. ZHANQING HUA07/06/2024Trustindex verifica se a fonte original da avaliação é Google. very good ! Yifan Lin31/05/2024Trustindex verifica se a fonte original da avaliação é Google. This dentist is amazing! Dr Raj is super friendly and makes you feel comfortable right away and always helpful. The office is clean and cozy. He explain everything in a way that's easy to understand and take his time to make sure you're getting the best care. SILVA SIMONA29/05/2024Trustindex verifica se a fonte original da avaliação é Google. AMAZING SERVICE AND DOCTOR WPU;D GO EXTRA MILE FOR YOU TO GET BETTER. Rosie Z21/05/2024Trustindex verifica se a fonte original da avaliação é Google. Delighted with the result. Dr Kumar is very experienced and professional. ah-Yuan09/04/2024Trustindex verifica se a fonte original da avaliação é Google. Good dental health journey here, good services😄 Yingzhi Liang31/03/2024Trustindex verifica se a fonte original da avaliação é Google. Dr Raj Kumar and his team are really nice and I enjoy my dental health journey here, they are very patient and try their best to meet my demands, I have told my friends about my experience of wearing Invisalign and really recommend it!
Replacement of Four Traumatised Maxillary Incisors with Two Implants...
Read More +Comprehensive Approach to Upper and Lower Anterior Teeth Removal...
Read More +From Metal Ceramic to Zirconium: When 20-Year-Old Crowns Need Replacing....
Read More +