
The E line
The E line is an imaginary line drawn from the nose tip to the chin. In the ideal face the upper and lower lips sit just behind the E Line, with the lower lip being fuller being closer.

Changes in the positions can be seen in patients who have :
1 Upper jaw being forward or backward
2 Lower jaw being forward or backward
3 Small or big nose
4 Full or flat lips
5 Teeth protrusion
All except teeth protrusion would involve a surgical intervention to correct or early fixed orthodontics with headgear etc. However teeth problems appear quite late into adulthood and many long or old adults would not wear fixed braces with head gear.
Bimaxillay protrusion
Bimaxillary proclination is a dental term used when both upper and lower teeth are angled forwards causing the lips to procline forward.
It is most common amongst African and Asian populations.
It is usually due to the increased length of the bone that holds the teeth, the dentoalveolar process, but can be sometimes due to tongue thrust as well.
It can also be seen where the lips are full but loose/incompetent which can allow the forward tilting of the teeth.

The lip profile can be seen to have a reduced angle between the base of the nose and the upper lip. The lips can be seen to be actively trying to close the mouth.
Sometimes a patient may have difficulty in having a relaxed pose with the lips together due to the proclination.
In a study carried out in 2007, Chinese participants preferred a flatter smile than a bimaxillary protruded smile.
In another study larger than average teeth that do not fit in the dental arch, can lead to proclination and also crowding.

Patients can inadvertantly ask for smile makeovers or veneer treatment hoping that the protrusion can be reduced, but without gross tooth destruction it is ill advised.
Most adult patients would like this type of malocclusion corrected orthodontically, but would not want fixed braces if at all possible.
Invisalign orthodontics solution
Invisalign clear aligners can be of great help in reducing this dental problem.

Space needs to be created to allow retraction of the teeth.
This can be done either by:
Pulling back all the teeth is possible if the wisdom teeth have been removed.
The amount of space at the back may be limited by the lower jaw.

Stripping the enamel between teeth contacts; this can only give 4-5 mm backward placement. But some patients prefer this option.

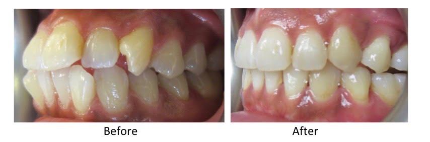
The best option is the removal of 2 upper and 2 lower premolars. This can give a total of 5-10m of space allowing the front teeth to be angled backwards to near vertical.

The spaces are closed during the process with the Invisalign aligners. At each aligner stage the space is reduced and the teeth crowding also less.

Extractions allow you to have maximum profile reduction and change in crowding without damaging the enamel of the teeth.


With the extraction of 4 premolars we were able to reduce the crowding and the profile. Notice the reduction of the lip profile and the nasolabial angle.