Coke, Pepsi, carbonated water and even Red Bull contain dissolved Carbon Dioxide; this gives the drink that fuzziness and zest.
There is a new trend of Seltzer drinks, Seltzer water and even Seltzer alcoholic drinks; they all contain Carbon Dioxide.

Unfortunately dissolved carbon dioxide creates a weak acid called carbonic acid.

Acids can dissolve minerals such as enamel and dentine and are in the long term harmful to the teeth.
Enamel is 95% mineral and Dentine is 70% mineral. Both contain crystals of Hydroxyapatite and some fluoride atoms as well.
Acids react with minerals to cause the release of ions and the minerals effectively start to dissolve.

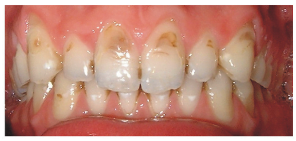
As many sip fizzy drinks from cans, the acid attack is ferquent throughout the day and the enamel slowly starts to dissolve.
Initially the teeth may looks shiny or have translucent edges, but eventually you start developing pits and cavities as above.

Most composite repairs will begin to stain or wear away, especially if one continues drinking fizzy drinks. In the case above the gentleman was 26 years old and had for many years been replacing the anterior fillings.
He wanted a better solution and we firstly asked him to drink still water and refrain from all fizzy drinks. A diet analysis was also carried out to see if he was eating anything too sweet etc.
After careful analysis we asked him to come back to discuss options.
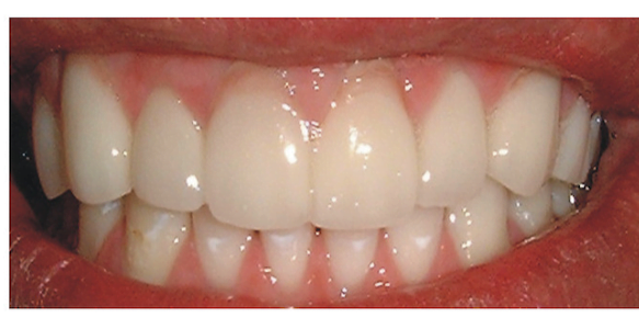
He did not like the repeat fillings and also thought his teeth were too long or misshapen. We discussed Emax veneers as a better long term option. Veneers are known to lats over 20 years+ if looked after.

A veneer is a cover. It can be bonded onto the front tooth with no or little preparation of the tooth. In some cases we align the teeth with Invisalign firstly to get the best out of the smile, before veneering.
Veneers involve setting up a mock up of the new shape and length and if the patient us happy, we then prepare the teeth gently.

2 weeks later new porcelain Emax veneers were bonded to the teeth. You may notice some pink porcelain at the gum levels; we use this when there has been gum recession and the patient does not want extremely long teeth.
The Emax will not stain as composites do and will rarely chip or fail. The occlusion is always investigated for any irregularities beforehand.
For individual cases we use the harder and more durable Zirconia porcelain; which gives a very white smile.
Acid erosion can lead to damaged teeth and a poor smile, but modern day dentistry if minimal, can also save the teeth and restore confidence.

In the 1920s many film and theatre actors would have silicate or plastic crowns bonded to their teeth. In modern times many celebrities have porcelain veneers instead.
With veneers the smile is whiter, more cosmetic, more aesthetic and extremely confidence boosting. Although not every actor has a great smile; some dentists do not take care when providing treatment and can make their patients look ‘Goofy’.
In the next article we will discuss acid erosion at it’s worst and how we gave confidence back to a patient.
#veneers#smile#smilemakeover#emax#zirconium#hollywood smile