
Dental development involves the replacement of the baby teeth (from the age of 6) by the fuller set of adult teeth.
Adult teeth are greater in number and are greater in size.
The canines are usually in there correct position by 12 years of age, but not in all patients.
Sometimes the canines (fangs) do not develop at the correct position, or are delayed in coming down, or their space is closed by an early extraction of a baby tooth.
In any case the crowded canines look odd, although some societies actually want that teenage look way in to their mid 30’s.
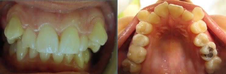
In this case, we were seeing a 28 year old female who wanted her smile improved.
The canines were so way out that the RHS canine actually had no space whatsoever.
We offered 3 options with Invisalign:
1 remove the canines and no Invisalign treatment
2 remove the 1st premolars with a shorter Invisalign treatment
3 remove the 2nd premolars with much longer Invisalign treatment, as these 2 teeth are further away from the canine problem.
The patient chose the last option because the 2nd premolar on the RHS was root filled and may fail one day.
So we agreed and took impressions/scans.
The Invisalign Clincheck came back with a favourable treatment plan and time line, 18 months.
We agreed and removed the upper 5/5 and fitted the aligners.
The patient came to see us every 8 weeks for a review and after 18 months we did some refinement aligners.
The change was dramatic and the patient was extremely happy with our planning and execution.

Invisalign is a brand and product, but we would always recommend a dentist with many years of experience.
#invisalign#clear braces# aligners# crooked teeth