
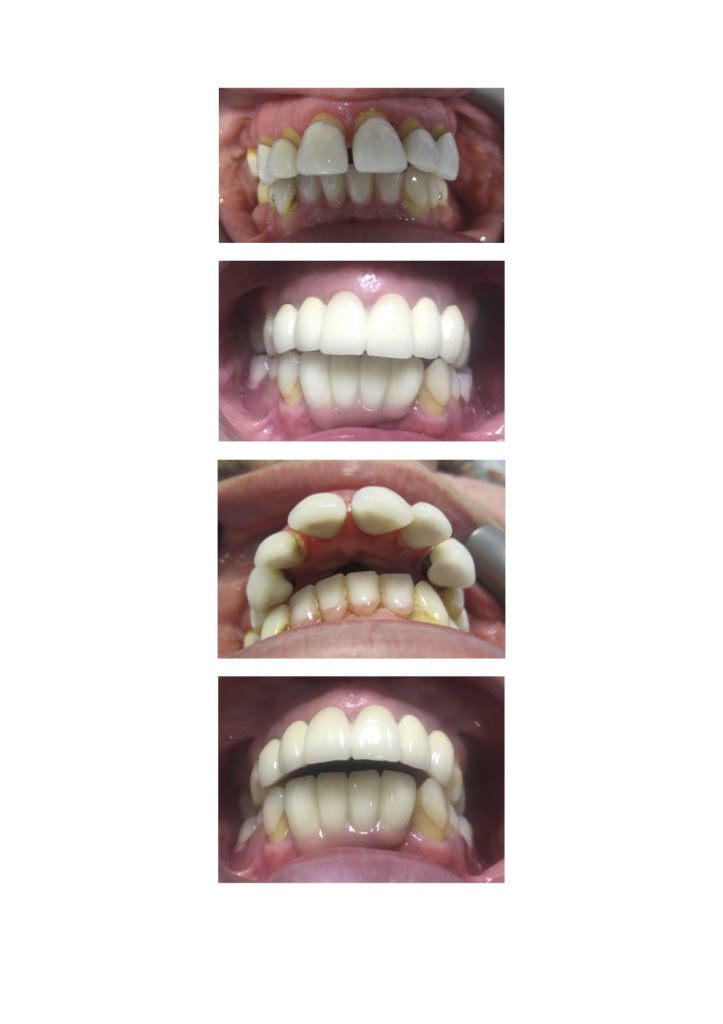
Gum disease can cause bone loss and drifting of teeth. This leads to an unsightly proclined smile due to an increased overjet and sometimes vertical drift.
A lady presented to us with upper porcelain crowns and proclaimed teeth. She asked us if we could change the crowns and improve her smile.
Her medical history was uneventful and she was a non-smoker.
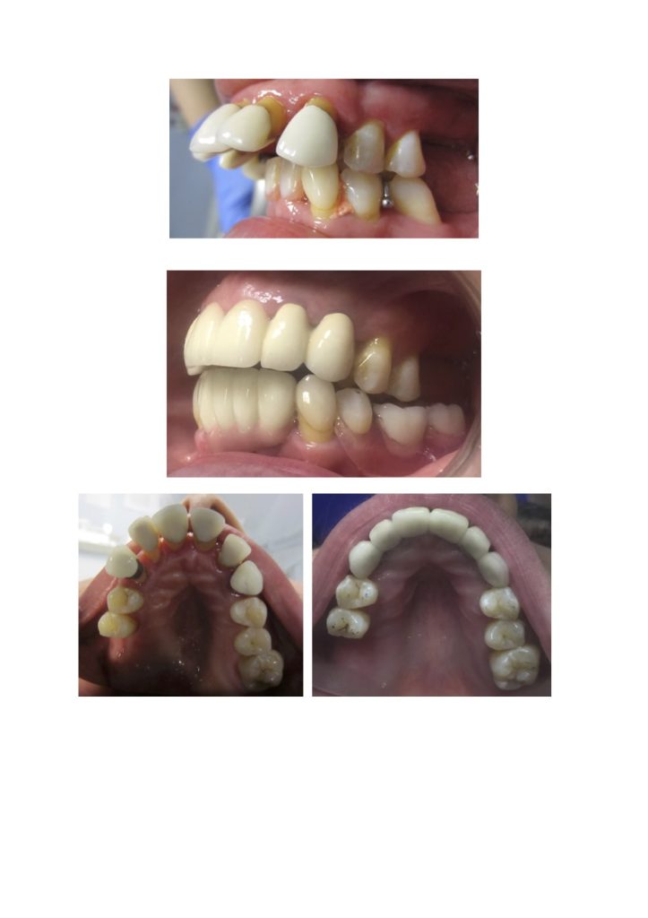
Unfortunately due to gum disease-related bone loss, the teeth had a doubtful prognosis and we recommended the removal of 6 upper and 4 lower teeth.
The upper and lower teeth could be removed and at the same time, 4 upper and 2 lower implants were placed.
We had to add some bone graft around the upper wide canine sockets.
The patient wore acrylic dentures whilst the gums healed.
After 8 months we were able to replace the dentures with an upper 6 unit metal porcelain bridge which was screw retained, and a lower 4 unit metal porcelain screw retained bridge.

There was a vast improvement in the profile and appearance and the patient was very happy.
We provided a small lower acrylic denture to improve function, until she could decide on long term options.
