From Metal Ceramic to Zirconium: When 20-Year-Old Crowns Need Replacing.

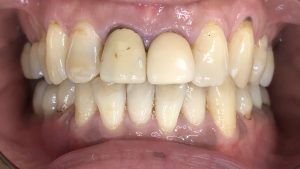
This patient’s metal ceramic crowns had been in place for two decades. They were leaking, discolored, and making her feel self-conscious about her smile. She came to us looking for a solution that would last.
We replaced them with premium zirconium crowns—and the transformation is remarkable.
What changed:
• Superior color matching using advanced shade selection
• Shortened lengths for a more natural, youthful proportion
• Refined contours for a softer, more feminine aesthetic
• Biocompatible zirconium eliminates the dark line at the gum
• Natural translucency that catches light beautifully
• Sealed margins prevent future leakage and decay

Why zirconium is the upgrade:
Zirconium crowns are the gold standard for front teeth. They’re significantly stronger than traditional metal ceramics, look completely natural, and last 15+ years with proper care. No metal means no dark shadows, no allergic reactions, and no leakage compromising your teeth underneath.
If your crowns are showing their age, you don’t have to live with them. A consultation with Dr. Kumar takes 30 minutes and could transform how you feel about your smile for the next two decades.

Book confidentially. Hablamos español con fluidez.
#ZirconiumCrowns #SmileMakeover #DentalCrowns #CosmeticDentistry #NaturalSmile #DentalTransformation #FormaSmile #CentralLondon #DentistryExcellence #FeminineSmile