
Original Coke, original sin?
The PH or acidity of a fizzy drink can dissolve enamel and dentine.
Fizzy drink acid levels are usually below the neutral Ph of 7. At a ph of 7 there is no dissolution or movement of ions.

Critical ph is that ph at which enamel dissolves in the oral environment, which is roughly 5.5.
As you can see many fizzy drinks are at an acidic level well below that.
Sipping Coke or Pepsi over a prolonged period can cause acid attack and microscopic enamel attack.
Most drinks also contain sugar, and so the oral bacteria can digest these sugars, producing acids as by products and cause further dissolution.

Acid attack with drinks is different from chewing sweets or chocolates.
Chewing usually causes decay on the posterior teeth, whereas drinking sugary, fizzy drinks usually causes upper anterior decay (the lower teeth are protected by the tongue when swallowing).
Acid attack is most notorious when a patient sips and holds the drink in the mouth for a few seconds, when patients have fixed braces on or drinking withInvisalign aligners in.
Case presentation

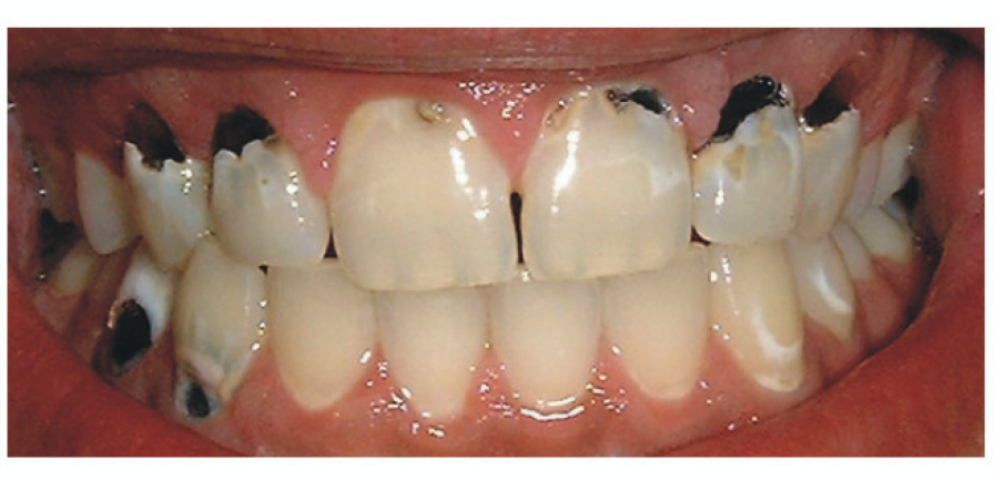
This interesting case is an 18 year old male who used to drink Coke every day. He rarely brushed his teeth during his teenage angst days and slowly developed dark cavities.
He was a shy fellow and was embarrassed by the cavities and he would not go to the dentist. Eventually when it dawned on him that he may want to go to University, he plucked up the courage to come to the clinic with his mother and ask what could be done to beautify him.
Dietary analysis was undertaken and it was recommended that fizzy drinks should stop immediately. A sodium fluoride mouth rinse was recommended.
It can be seen that the upper teeth edges have become translucent from acid erosion. The uppers and lowers had numerous deep cavities.
We decided to excavate the soft caries and place glass ionomer fillings to arrest the caries.
The lower teeth had composite fillings placed in 1 visit.
We agreed that the upper teeth should receive porcelain veneers, but the patient wanted to keep his lucky midline diastema.

Over a period of 2 weeks we transformed this young man’s smile and placed 6 porcelain veneers.
He was quietly happy and never looked back.
He has a great job and those veneers are still there 20 years later.
Nowadays we use Emax or zirconium porcelain veneers.
Both materials have differing properties and must be used when indicated for individual situations.
Veneers can last more than 20 years. Sometimes overbrushing can cause gum shrinkage that exposes the veneer edges and some patients then want the veneers replaced.
#veneers#emax#zirconium#smiel#smile makeover