
Comprehensive Approach to Upper and Lower Anterior Teeth Removal with Lower Bridge and Upper Implants with Temporary Denture
The management of anterior teeth requiring extraction, especially when combined with prosthetic rehabilitation, requires careful planning to balance function, esthetics, and patient comfort. A treatment plan involving the removal of both upper and lower anterior teeth, placement of a lower bridge, upper implants, and a temporary denture is a complex but effective approach.
Indications for Treatment
Patients may require this comprehensive approach due to:
- Severe periodontal disease leading to mobility or bone loss.
- Extensive decay or trauma affecting anterior teeth.
- Esthetic concerns affecting smile and social interactions.
- Need for functional restoration of bite and occlusion.
Step 1: Pre-Operative Assessment
A thorough evaluation is essential, including:
- Clinical Examination: Assess periodontal status, tooth mobility, occlusion, and esthetic requirements.
- Radiographic Analysis: Panoramic and periapical radiographs to evaluate bone quality and quantity for implants.
- Medical History: Identify systemic conditions that may impact healing or anesthesia.
- Patient Expectations: Discuss esthetic outcomes and temporary prosthetic options.
Step 2: Tooth Extraction
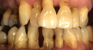
- Upper and Lower Anterior Teeth Removal:
Extractions are performed atraumatically to preserve alveolar bone for future implant placement and bridge support. Care is taken to avoid excessive trauma, particularly in the anterior maxilla, which is critical for esthetics. - Hemostasis and Socket Management:
Socket preservation techniques, such as grafting, may be used if significant bone resorption is anticipated.

Step 3: Lower Bridge Fabrication
- Preparation of Abutments:
Adjacent teeth are prepared to support a fixed dental bridge. - Impression and Temporary Bridge:
An impression is taken immediately after extractions to fabricate a temporary bridge, restoring function and esthetics during healing. - Bridge Placement:
The permanent lower bridge is planned following adequate healing of extraction sites, usually after a few weeks.
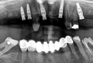
Step 4: Upper Implant Placement
- Implant Planning:
Using radiographs or CBCT scans, the number and position of implants are planned to optimize support for the final prosthesis. - Surgical Procedure:
Implants are placed into the anterior maxilla under sterile conditions, ensuring primary stability. - Healing Phase:
Osseointegration typically requires 3–6 months. During this time, a temporary denture is used to maintain esthetics and function.
Step 5: Temporary Denture
- Immediate Temporary Denture:
Fabricated to fit immediately after extractions, providing support to soft tissue and esthetic appearance. - Adjustment Period:
Dentures are adjusted for comfort, speech, and function. They act as a transitional prosthesis until implant-supported crowns can be placed.
Step 6: Final Prosthetic Restoration
- Lower Bridge: Permanently cemented onto prepared abutments.
- Upper Implant Prosthesis:
Following osseointegration, implant crowns or a fixed bridge is attached to upper implants. - Occlusal Adjustments:
Fine-tuning ensures a harmonious bite and long-term function.
Advantages of This Approach
- Restores esthetics and smile confidence immediately with temporary solutions.
- Preserves alveolar bone with careful extraction and socket management.
- Provides long-term stability with lower bridge and upper implants.
- Minimizes patient discomfort with staged rehabilitation.
Considerations and Risks
- Surgical risks such as infection, bleeding, or implant failure.
- Temporary denture may require frequent adjustments.
- Healing times vary depending on bone quality and patient health.
- Immediate Temporary Denture: