Arch expansion

Arch expansion

Many patients have narrow dental arches from thumb sucking or clenching their teeth. The facial muscles create forces that will compress the teeth, narrowing the dental arch and cause dental crowding.

The teeth may begin to overlap, rotate or even protrude.

Teeth out o their natural positions are more prone to damage from trauma or tooth wear.

Sometimes you may notice one front tooth is shorter than the other.

Simply by moving the teeth back to their original positions will recreate the space and solve the crowding issue.

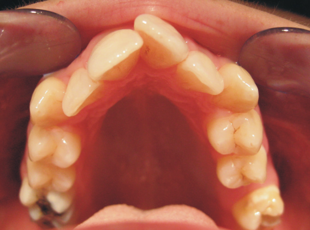
This Invisalign case was a 28 year old student who had severe upper and lower crowding and a missing tooth.

We used Invisalign to expand the dental arch and move the teeth back to their original positions, using the missing tooth space.

It took 15 months of treatment and the patient attended every 8 weeks.

At the end we provided 6 Invisalign retainers and tooth whitening as well.

The 3 pairs of retainers are rotated every 4 months which keeps the teeth locked in their final positions.

#invisalign#aligners#braces#crooked teeth