Replacement of Four Traumatised Maxillary Incisors with Two Implants and a Four-Unit Bridge

A patient presented following a fall resulting in severe trauma to the four maxillary incisors. Clinical examination showed extensive structural damage affecting the upper central and lateral incisors, with the teeth considered unrestorable. The case required management of both the immediate consequences of trauma and the long-term restorative challenge in the anterior maxilla.
Clinical Assessment
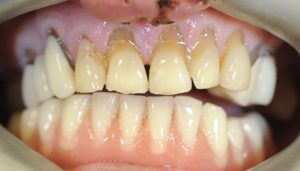
The patient’s main concerns were pain, appearance, and the loss of function in the upper anterior region. Clinical assessment identified significant fracture and compromise of the four upper incisors. In addition to the dental injury, attention was given to the condition of the surrounding soft tissues and the aesthetic implications of treatment in the smile zone.
Pre-operative clinical views demonstrated the extent of the trauma and the compromised condition of the maxillary incisors . Radiographic assessment was carried out to evaluate the remaining bone support and to guide implant planning. The aim was to provide a fixed restoration with good functional and aesthetic predictability while minimising surgical intervention.
Treatment Planning
As the four maxillary incisors were unrestorable, extraction was indicated. The restorative plan was to replace the missing teeth with a four-unit implant-supported bridge retained on two implants.
This treatment approach was selected to:
- Restore function and aesthetics in the anterior maxilla
- Provide a fixed long-term solution
- Optimise implant distribution within the available bone
- Avoid unnecessary placement of additional implants where not required
In anterior cases of this type, implant positioning is critical not only for support of the prosthesis but also for emergence profile, soft tissue contour, and overall smile aesthetics.

Surgical Phase
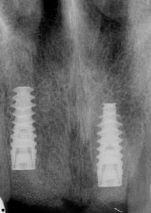
The four upper incisors were removed with care to preserve the surrounding tissues as much as possible. Following extraction, two implants were placed in strategic positions to support the planned four-unit bridge.
Achieving appropriate three-dimensional implant placement was essential. Particular attention was paid to angulation, spacing, and restorative-driven positioning in order to support an acceptable prosthetic outcome. Primary stability was achieved at placement, and postoperative radiographic review confirmed satisfactory implant positioning.

Osseointegration and Prosthetic Phase
A healing period was allowed for osseointegration before proceeding to the definitive restoration. During this period, the patient was monitored clinically to assess tissue maturation and implant stability.
Once integration had been confirmed, the implants were restored with a four-unit bridge replacing the four maxillary incisors. The prosthesis was designed to provide:
- Adequate anterior aesthetics
- Functional incisal support
- Acceptable phonetics
- Cleansability and long-term maintainability
The final restoration re-established continuity of the anterior dentition and provided the patient with a fixed replacement following traumatic tooth loss.
Discussion
Trauma affecting multiple maxillary incisors presents both surgical and restorative challenges, particularly in the aesthetic zone. In this case, replacement of four incisors using two implants and a four-unit bridge offered a conservative and effective fixed solution.
Success in such cases depends on careful diagnosis, prosthetically driven implant placement, preservation of hard and soft tissues, and close attention to the restorative design. Where these principles are followed, implant-supported bridgework can provide predictable functional and aesthetic rehabilitation after traumatic tooth loss.
Conclusion
This case illustrates the management of severe trauma to four upper incisors using extraction, placement of two implants, and restoration with a four-unit implant-supported bridge. The treatment provided a stable, aesthetic, and functional outcome, demonstrating a practical approach to rehabilitation in the anterior maxilla following trauma.