Dental crowding can happen over many years. Sometimes from the lack of wearing retainers to tooth clenching and narrowing of the arches.
Tooth movement of one arch can cause disruption to the teeth in the other arch, leading to crowding, tooth wear and in some cases tooth fracture.


This lady who was in her mid 40s actually saw us for a consultation 11 years ago, but never came back, due ti family reasons.
During Covid she contacted us again and asked if we could help her.
An Itero 3D scan was taken with digital images.
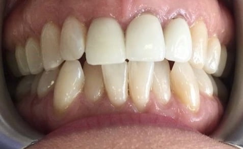
We noted mild upper crowding with porcelain crowns and uneven margins with moderate lower crowding and the LR2 being hidden in the smile.
We agreed on an Invisalign treatment with arch widening and proclaiming of the lower incisors.
The upper incisors were lifted up to even out the gum margins.
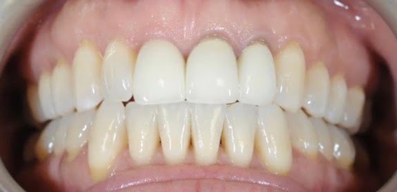
We did about 20 aligners over 2 treatments and the patient attended irregularly throughout the treatment. Treatment time was less than a year.
It is always amazing what results we get and the patient was quietly astonished as well.


We finished off with 3 pairs of Invisalign retainers and tooth whitening as well.
Our posts may be short but the results are great.
#invisalign#clear aligners#braces