Invisalign London
Forma is one of the leading Invisalign providers in London. Schedule a consultation with our team and enjoy the benefits of clear braces
Forma Smile is one of Londons leading Invisalign providers
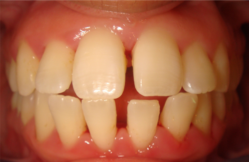
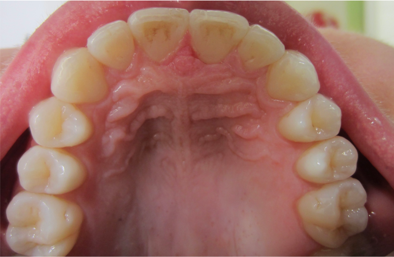
Since the launch of Forma in 2000 – Forma has proudly completed over +1400 cases. With Invisalign revolutionary clear braces technology, it has allowed users to feel comfortable with getting treatments which usually would require traditional wired braces. The clear aligners allow Invisalign users to go about their usual routine, while their clear braces remain incognito.
Forma has provided Invisalign invisible braces in London for over 21 years. We always pride ourselves in providing a service that meets both the client’s and Forma’s high standards. We make sure to implement a high level of attention to detail in all our Invisalign treatment. We work with all our patients to answer & reassure all their concerns and questions regarding their treatment and finding solutions to fit their demands and requirements. Our clinic is based in the EC2 postcode with accessible public transport links.
Why Choose Invisalign
Invisalign has successfully treated over 5 million patients worldwide – Forma has treated over 1400 of those clients since Invisalign’s launch in 2000. Celebrities such as Khloe Kardashian, Justin Bieber, Oprah Winfrey and many more have successfully had their smiles enhanced with Invisalign. We’re confident in the technology Invisalign’s clear braces provide, our clients are always satisfied with the outcome of their treatments, and we’re confident you’ll love what Invisalign can do for your smile!
The aligners are 0.3mm thin, lightweight and clear; this means the patient can go about their without the irritation or discomfort. Invisalign also allows the patient the freedom to remove the clear aligners during the day. By removing the aligners you can have the freedom to enjoy your meals, dates, and time with your friends – but we recommend you keep your clear aligners in for at least 22hours.
Forma has provided Invisalign invisible braces in London for over 20 years. We always pride ourselves in providing a service that meets both the client’s and Forma’s high standards. We make sure to implement a high level of attention to detail in all our Invisalign treatment. We work with all our patients to answer & reassure all their concerns and questions regarding their treatment and finding solutions to fit their demands and requirements. Our clinic is based in the EC2 postcode with accessible public transport links.
What Our Clients Say
Our patients say it best!
Everyone who’s been treated at Forma Smile leaves with more than just a healthy smile – they leave happy and confident too.
We’re proud of every smile we’ve transformed and love hearing how satisfied our patients are with their results.
Curious to see what the buzz is about?
Book your appointment today and come experience the care and results that everyone’s talking about!
Ximeng Ren22/07/2024Trustindex verifica se a fonte original da avaliação é Google. I've been wearing Invisalign here for over a year now, Dr. Raj is very responsive and communicates with me, I'm currently half way through the process and I'm very happy with how it's going now. Xi Wang (Sissy)15/07/2024Trustindex verifica se a fonte original da avaliação é Google. I started my Invisalign treatment in February 2024 at Forma Smile & Beauty. Currently, I am on the 12th aligner out of 19 - I can already see the difference! Through regular check-ins with Dr. Raj Kumar, I feel confident about the results I would expect at the end of my treatment - of course, because of his professionalism. I have never felt stressed when visiting the practice, as Dr. Raj Kumar and Alejandra are always friendly and patient. I can always get an immediate reply from Forma Smile when I have questions about my plan or I need to book an appointment. I would highly recommend Forma Smile if anyone wants to get an Invisalign treatment! And for sure I would 100% go for Dr. Raj Kumar if I have any other dental issues in the future. ZHANQING HUA07/06/2024Trustindex verifica se a fonte original da avaliação é Google. very good ! Yifan Lin31/05/2024Trustindex verifica se a fonte original da avaliação é Google. This dentist is amazing! Dr Raj is super friendly and makes you feel comfortable right away and always helpful. The office is clean and cozy. He explain everything in a way that's easy to understand and take his time to make sure you're getting the best care. SILVA SIMONA29/05/2024Trustindex verifica se a fonte original da avaliação é Google. AMAZING SERVICE AND DOCTOR WPU;D GO EXTRA MILE FOR YOU TO GET BETTER. Rosie Z21/05/2024Trustindex verifica se a fonte original da avaliação é Google. Delighted with the result. Dr Kumar is very experienced and professional. ah-Yuan09/04/2024Trustindex verifica se a fonte original da avaliação é Google. Good dental health journey here, good services😄 Yingzhi Liang31/03/2024Trustindex verifica se a fonte original da avaliação é Google. Dr Raj Kumar and his team are really nice and I enjoy my dental health journey here, they are very patient and try their best to meet my demands, I have told my friends about my experience of wearing Invisalign and really recommend it!
How long does it take for Invisalign braces to work?
We can provide a 3D simulation almost immediately via iTero Scanning. Once we have reviewed the treatment plan, we can order aligners and which usually arrive within one week. We pride ourselves at Forma to make sure our patients are updated on the progress of their teeth positioning – so we recommend patients come in for a checkup every two weeks to make sure your clear aligners are working for them. As each aligner is moving teeth in increments, most of our patient’s notice changes in their smile within three months.
Our usual patient treatment takes about 12-15 months. This is mainly because we do not treat mild cases or introduce tooth stripping to reduce treatment times. Tooth stripping involves creating spaces or cuts between teeth contacts in order to create space. We mostly have other means of making spaces with Invisalign.